Wir verwenden Cookies um Daten zu erheben. Diese helfen uns, Ihnen das bestmögliche Erlebnis unserer Seite zu gewährleisten. Wenn Sie unsere Seite weiterhin benutzen, stimmen Sie deren Verwendung automatisch zu.   

Zahnarztpraxis Baar 

Regelmässige Dentalhygiene macht den Unterschied, denn ein sauberer Zahn erkrankt nicht

Eine gewissenhafte Mundhygiene kombiniert mit einer regelmässigen Kontrolle kann Zahn- und Zahnfleischkrankheiten verhindern. Wir empfehlen einen halbjährlichen Prophylaxetermin.

Dr. Nina van Sprundel und ihr Team bieten eine Dentalhygiene an, die mehr als nur ein visuelles Ergebnis liefert. Wenn Sie sich für unsere Prophylaxe entscheiden, können Sie sich auf ein gesünderes und strahlenderes Lächeln freuen.

Unsere Zahnpflegeexperten entfernen Plaque, Zahnstein und andere Ablagerungen, um Ihre Zähne gesund, sauber und kariesfrei zu halten. Die professionelle Zahnreinigung ist eine Investition in Ihre Gesundheit und Ihre persönliche Hygiene. 

Dentalhygiene ist unerlässlich und erhält Ihre Zähne

Das Bild zeigt Karies unter dem Mikroskop. Obwohl er auf dem Bild attraktiv erscheint, ist er für Ihre Zähne nicht geeignet.

Karies ist eine der häufigsten Ursachen für Zahnverlust. Es ist eine bakterielle Infektion, die schwere Schäden an den Zähnen verursachen kann. Karies kann die Zahnsubstanz schädigen, den Zahnschmelz anlösen und zu unangenehmen Zahnschmerzen führen. Wenn er nicht schnell behandelt wird, kann Karies dazu führen, dass Zähne absterben oder abgeschliffen werden müssen, was zu einer schlechten Mundgesundheit und einer schlechten Ästhetik führen kann.

Eine regelmässige Dentalhygiene ist daher unerlässlich, um Karies zu verhindern. Es ist wichtig, dass Sie Ihre Zähne regelmässig putzen und zweimal pro Jahr zur Dentalhygiene kommen. Die regelmässige Verwendung von Zahnseide und Anti-Karies-Mundwasser kann helfen, Karies vorzubeugen. 

Ebenfalls kann die Ernährung eine wichtige Rolle spielen. Vermeiden Sie es, zu viele süsse oder stärkehaltige Lebensmittel zu essen. Indem Sie diese einfachen Schritte befolgen, können Sie helfen, Karies zu verhindern und Ihre Mundgesundheit zu verbessern.

Karies unter dem Mikroskop

Gründliches Zähneputzen ersetzt nicht die Dentalhygiene

Zähneputzen ist eine wichtige Komponente der Mundhygiene, aber es kann die regelmässige Prophylaxe nicht ersetzen. Die regelmässige Prophylaxe beinhaltet eine gründliche Reinigung, die den Zahnbelag, Zahnstein und Karies entfernt, die durch Zähneputzen nicht beseitigt werden können. Ausserdem können wir bei der Prophylaxe weitere Massnahmen zur Vorbeugung von Zahnkrankheiten ergreifen, wie z.B. Fluoridierung, die den Zahnschmelz stärkt und die Zahnzwischenräume gereinigt werden. 

Auch wenn es wichtig ist, seine Zähne jeden Tag zu putzen, kann es die Prophylaxe nicht ersetzen. Daher ist es wichtig, regelmässig einen Zahnarzt aufzusuchen, um eine professionelle Reinigung und eine umfassende Zahnvorsorge zu erhalten. Für Ihre optimal Zahnpflege zuhause empfehlen wir Ihnen die Philips Sonicare.

Angst vor der Dentalhygiene?

Dr. Nina van Sprundel und ihr Team bieten eine sichere und unterstützende Umgebung für Angstpatienten, um ihre regelmässige Dentalhygiene durchzuführen. Dank modernster Therapiemöglichkeiten können wir eine schonende und schmerzfreie Behandlung garantieren.

Wir wissen, dass Angstpatienten besonderer Aufmerksamkeit bedürfen, daher nehmen wir uns viel Zeit, um alle Fragen zu beantworten und die Ängste zu nehmen. Bei einem ersten Termin lernen Sie Dr. van Sprundel und ihr Team kennen. In einem gemeinsamen Gespräch finden sie heraus, welche Wünsche und Zielvorstellungen Sie haben. Dank der Aufklärung und Transparenz können Sie sich darauf verlassen, dass Dr. van Sprundel und ihr Team Ihr Vertrauen verdienen.

Durch die regelmässige Verwendung von Zahnseide, Anti-Karies-Mundwasser und eine gesunde Ernährung kann Karies vorgebeugt werden. Dr. van Sprundel und ihr Team können Ihnen dabei helfen, die richtigen Entscheidungen zu treffen, um Ihre Mundgesundheit zu verbessern. Sie können auch darüber informieren, wie man Karies behandelt und verhindert.

Dr. van Sprundel und ihr Team sind bestrebt, Ihnen ein Gefühl von Sicherheit und Vertrauen zu geben, während Sie Ihre regelmässige Dentalhygiene durchführen. Sie können sich bei Ihnen melden, wenn Sie Fragen haben, und Ihnen bei der Durchführung der notwendigen Schritte behilflich sein. Mit unterstützender und respektvoller Behandlung helfen Dr. van Sprundel und ihr Team Ihnen, ein Leben voller guter Mundgesundheit und Ästhetik zu führen.

Unterschied zwischen Prophylaxe und der profesionellen Zahnreinigung

Bei einer Prophylaxe-Sitzung wird mehr als nur die Reinigung der Zähne durchgeführt. Sie umfasst eine umfassende Untersuchung des Mundes, einschliesslich der Zähne, des Zahnfleisches und der Zungenoberfläche.

Im Rahmen der Untersuchung kann der Zahnarzt auch eine Beurteilung des allgemeinen Gesundheitszustands des Patienten vornehmen. Der Zahnarzt oder die Zahnhygienikerin kann den Patienten auch über sein Putzverhalten zu Hause informieren und ihm eine Anleitung zur richtigen Mundhygiene geben.Der grösste Unterschied zwischen einer Prophylaxe und einer professionellen Zahnreinigung besteht darin, dass bei der Prophylaxe eine vollständige Untersuchung des Mundes erfolgt, die andere Faktoren berücksichtigt, die die Zahn- und Mundgesundheit beeinflussen können, wie etwa persönliche Risikofaktoren, Ernährungsgewohnheiten und andere Faktoren.

Im Gegensatz dazu konzentriert sich die professionelle Zahnreinigung auf die Reinigung der Zähne, um Zahnbeläge zu entfernen.

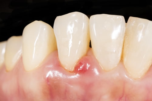
Dentalhygiene als Schutz vor Zahnfleischproblemen

Die Zahnhygiene ist ein wesentlicher Bestandteil der Prävention von Zahnfleischentzündungen. Sie ist notwendig, um den Zahnbelag (Plaque) zu entfernen und den Keimen, die eine Entzündung verursachen, keinen Nährboden zu bieten. Durch regelmässiges und gründliches Zähneputzen wird der Zahnbelag entfernt, die Zähne werden geschützt und die Entstehung von Zahnfleischentzündungen vermieden.

Zudem ist es wichtig, dass die Zähne und Zahnzwischenräume regelmässig im Rahmen einer gründlichen Dentalhygiene gereinigt werden, um sicherzustellen, dass der Zahnstein vollständig entfernt wird.

Gingivitis

Gingivitis ist eine milde Form der Erkrankung des Zahnhalteapparats, die durch eine Entzündung des Zahnfleischs (Gingivae) sichtbar wird. Zu einer Zahnfleischentzündung kommt es am häufigsten bei unzu

Dentalhygiene in der Schwangerschaft und für Ihr Kleinkind

Dr. van Sprundel wünscht Ihnen als werdende Eltern ein gesundes Gebiss für Ihr Kind. Um dieses Ziel zu erreichen, empfehlen wir Ihnen einen Besuch in unserer Praxis schon während der Schwangerschaft. Wir informieren Sie über alles, was Sie für ein gesundes Gebiss Ihres Kindes tun können.

Das Kariesrisiko während der Schwangerschaft ist erhöht. Eine regelmässige Zahnreinigung während der Schangwerschaft und die richtige Pflege sind unerlässlich, um die Gesundheit der Zähne zu erhalten.

Sobald das erste Zähnchen durchbricht, reinigen Sie es zwei Mal täglich mit fluoridierter Zahnpasta. Wir bieten Ihnen und Ihrem Kind eine kleine, kindgerechte Zahnreinigung an, damit Ihr Kind ein positives Erlebnis hat und sich auf weitere Zahnarztbesuche einstellen kann.

Eltern sind für Kinder Vorbilder, deshalb sollten Sie Ihr Kind beim Zähneputzen unterstützen und dabei mit einer neuen, kindgerechten Zahnbürste oder Zahnpasta die Putzroutine für Ihr Kind interessant gestalten.

Häufig gestellte Fragen zum Thema Dentahlhygiene

Auch wenn Ihre Zähne nach einer Bleaching -Behandlung gepflegt aussehen kann sich immer noch Zahnbelag zwischen den Zähnen und unterhalb der Zahnfleisches absetzen, welches entfernt werden muss. Am besten ist es, wenn Ihre letzte professionelle Zahnreinigung nicht länger als 6 Wochen her ist.

Putzen Sie Ihre Zähne, um den sich ständig neu bildenden Zahnbelag zu entfernen, zweimal täglich, morgens und abends, jeweils drei Minuten lang. Mit fluoridhaltiger Zahnpasta wird der Zahnschmelz gestärkt. Zur gründlichen Reinigung der Zahnzwischenräume einmal täglich Zahnseide und/oder Interdentalbürsten verwenden.
Eine professionelle Zahnreinigung kann durch eine gute Mundhygiene zu Hause jedoch nicht ersetzt werden.

Zur Verbesserung der Mundhygiene oder zur Entfernung festsitzender Beläge, geschweige denn von Zahnstein, können Mundduschen nicht wesentlich beitragen. In manchen Fällen können sie sogar gefährlich für die Zähne sein. Um eine professionelle und gründliche Zahnreinigung zu erhalten, muss der Zahnarzt aufgesucht werden.

Eine Ultraschallzahnbürste verursacht keinen Abrieb wie eine herkömmliche Zahnbürste. Sie schont nicht nur den Zahnschmelz, sondern auch das Zahnfleisch, da sie ohne Druck und Kraft reinigt.

Eine regelmässige professionelle Zahnreinigung hat selbst keine bleichende Wirkung. Sie kann aber Verfärbungen aufhellen. Sie entfernt gelben Zahnbelag und gelben Zahnstein von den Zahnoberflächen und gibt dem Zahn sein natürliches Weiss zurück.

Besonders wirksam ist die Reinigung der Zahnzwischenräume mit Zahnseide, die auch schwer zugängliche Stellen im Mund effektiv von Speiseresten befreit. Es empfiehlt sich, die Zähne mit einer fluoridhaltigen Zahnpasta etwa eine halbe Stunde nach dem Essen zu putzen.

Warten Sie mindestens einen Tag, bevor Sie Zahnseide verwenden. Putzen Sie die Zähne vorsichtig mit einer weichen Zahnbürste, solange das Zahnfleisch noch gereizt ist.

Wenn man nach der PZR mit der Zungenspitze über die Zähne fährt, fühlen sie sich glatt und sauber an. Die Oberfläche der Zähne wird jedoch nach einigen Wochen und Monaten rauer. Aus diesem Grund empfehlen wir die Durchführung einer Zahnreinigung mindestens 1 bis 2 Mal pro Jahr. Ein sauberer Zahn ist vor Krankheiten geschützt.

Vorsicht ist geboten bei Patienten mit einem geschwächten Immunsystem oder bei Patienten mit künstlichen Herzklappen. Bei der professionellen Zahnreinigung werden Bakterien freigesetzt. Diese können in die Blutbahn gelangen. Dies wird durch kleine Mikrorisse im Zahnfleisch verursacht.

Zahnaufhellung durch Bleaching

Bleaching ist eine der effektivsten Möglichkeiten, um schöne, weisse Zähne zu erhalten. Es ist die logische Fortführung der täglichen Zahnpflege und profesionellen Dentalhygiene. Bleaching ermöglicht es Ihnen, das zu erreichen, was Sie sich wünschen: Ein strahlendes Lächeln, das Sie stolz überall zeigen können.

Dabei ist das Bleaching eine sichere und effektive Möglichkeit, um die Farbe Ihrer Zähne zu verbessern. Es ist ein schneller und einfacher Prozess, der Ihnen dabei hilft, ein strahlendes Lächeln zu erhalten und Ihren Zähnen den Glanz zu verleihen, den sie verdienen.

Beeindrucken Sie andere mit Ihrem strahlenden Lächeln. Mit sauberen und hellen Zähnen signalisieren Sie Gesundheit und Wohlbefinden. Es ist eine Möglichkeit, Ihre Persönlichkeit zu präsentieren und ein positives Selbstbild zu vermitteln.

Cem Celik

Ich bin das erste Mal bei Dr. van Sprundel gewesen vor ca. 2 Wochen für eine Beratung zu neuen Veneers. 10 Tage später, war alles gefixt! Eine sensationelle Leistung und ich bin mit dem Ergebnis nicht zufrieden, sondern meine Erwartungen wurden übertroffen.

Hans Blaser

Hervorragende Leistung und sehr angenehmes Team & Praxis. Ich bin mit dem Resultat sehr zufrieden und kann Frau Dr. Nina van Sprundel und Team sehr empfehlen.

Jaqueline Adriano

Die Liebe zum Detail, die Dr. van Sprundel und ihr Team an den Tag legen, ist beispiellos. Eine Kombination aus qualitativ hochwertiger, kompetenter Beratung in einer entspannten und stilvollen Atmosphäre — nie weniger als fünf Sterne!

Sven Flory

Einfach die beste Zahnarztpraxis in Zug ... Ich fühlte mich bei Dr. van Sprundel hervorragend aufgehoben und kann daher die Praxis jedem weiterempfehlen.

Das sagen unsere Patienten

Google 4.8 Bewertungen lesen

Wir sind die Praxis für jedermann und jede Frau um ein perfektes Lächeln zu zaubern

Unsere treuen Partner

Strahlend schön

Zahngesundheitsteht an erster Stelle: Schöne und gesunde Zähne begleiten uns ein Leben lang. Darüber hinaus formen Ihre Zähne auch Ihr Gesicht. Ihr perfektes Lächeln sorgt für Ihre Ausstrahlung und definiert Ihre Lebensqualität. Überzeugen Sie sich von unserer Qualität – haben Sie Lust auf mehr?

Hoch
Back