Wir verwenden Cookies um Daten zu erheben. Diese helfen uns, Ihnen das bestmögliche Erlebnis unserer Seite zu gewährleisten. Wenn Sie unsere Seite weiterhin benutzen, stimmen Sie deren Verwendung automatisch zu.   

Zahnschmerzen - Ursachen, Vorbeugung und Linderung durch Medikamente

Ein stechender oder ziehender Schmerz kann sehr unangenehm sein. Es ist oft unmöglich und auch nicht ratsam, sie zu ignorieren. Zahnschmerzen sind ein Symptom, das auf eine Krankheit hindeutet und in den seltensten Fällen harmlos.

Die Behandlung von Zahnschmerzen sollte nicht auf die lange Bank geschoben werden, sondern zügig von einem Zahnarzt oder einer Zahnärztin durchgeführt werden. Mit dem Hinweis auf Schmerzen erhalten Sie bei uns meist einen kurzfristigen Termin. Ausserhalb der Öffnungszeiten können Sie einen Notfall Zahnarzt anrufen.

Ursachen von Zahnschmerzen

Karies ist die häufigste Ursache für Zahnschmerzen. Dabei ist ist wahrscheinlich, dass durch übermässig zucker- und kohlenhydrathaltige Nahrung in Kombination mit unzureichender Mundhygiene der Zahnschmelz angegriffen und ein Loch im Zahn entstanden ist. Weitere Gründe für Schmerzen an den Zähnen sind:

  • Gingivitis oder schon zu einer Parodontitis fortgeschritte Zahnfleischentzündung
  • Infektion oder eine Absonderung des Zahnnervs. Zahnwurzelentzündung entstehen häufig durch unbehandelten Karies
  • Abbruch eines Zahnes (z.B. durch einen Zahn-Unfall)
  • Freiliegende Zahnhälse
  • Zähneknirschen / CMD (Bruxismus)
  • Undichte und verlorene Füllungen
  • Durchbruch von Milchzähnen bei Kindern
  • Die Zähne sind von Karies befallen

Weitere, weniger häufige Gründe für Zahnschmerzen sind:

  • Entzündung der Nasennebenhöhlen oder der Kieferhöhle
  • Gürtelrose
  • Herzinfakt
  • Anspannung, Stress und Depressionen

Hausmittel gegen Zahnschmerzen

Bei starken Schmerzen im Mundbereich kann das Kühlen mit Eis eine Linderung der Schmerzen bewirken. Weitere wirksame und altbewährte Hausmittel sind:

  • Teearten wie Salbei- oder Kamillentee können als Mundspülung entzündungshemmend wirken
  • zerkleinerte Zwiebel auf betroffene Stellen tupfen kann entzündungshemmend wirken
  • Aufgelöstes Salz in lauwarmen Wasser kann als Mundspülung infektionshemmend wirken
  • Nelke und Teebaumöl wirken bei bakteriellen Infektionen im Mundraum desinfizierend und antiseptisch

Medikamente bei Zahnschmerzen

Schmerzmittel sind keine Dauer-Lösung, sondern sollten lediglich genutzt werden um die Zeit bis zum Zahnarzt-Termin zu überbrücken. Zahnschmerzen sind ein Alarmzeichen, die auf eine Erkrankung hinweisen. Folgende Schmerzmittel können wir empfehlen:

  • CONTRA-SCHMERZ® plus (Acetylsalicylsäure und Coffein)
  • Aspirin® (Acetylsalicylsäure)
  • Ponstan® (Mefenaminsäure)
  • Panadol® (Paracetamol)
  • Felden® (Piroxicam)
  • Ibuprofen 400 (rezeptfrei)
  • Ibuprofen 600 (verschreibungspflichtig)

«Ein sauberer Zahn erkrankt nicht»

Karies unter dem Mikroskop

Pochende und ziehende Zahnschmerzen

Pochende, pulsierende oder ziehende Zahnschmerzen ohne das Sie Druck auf den Zahn ausüben deuten auf eine Karieserkrankung hin, die bereits den Zahnnerv erreicht hat. Der Nerv entzündet sich und schwillt dabei an. Durch diese Schwellung entsteht ein Überdruck im Zahn, der als unangenehmes Pochen empfunden wird. 

Sollten Sie zusätzlich Fieber haben, deutet das darauf hin, dass Ihr Körper gerade einen Kampf gegen den Kariesbefall führt. Ist die Wurzel geschädigt muss möglicherweise eine Wurzelbehandlung durchgeführt werden.

Es wird dringend empfohlen, Ihren Zahnarzt aufzusuchen. Eine gute Mundhygiene in Kombination mit der regelmässigen Dentalhygiene kann Karies vorbeugen.

Zahnschmerzen beim kauen

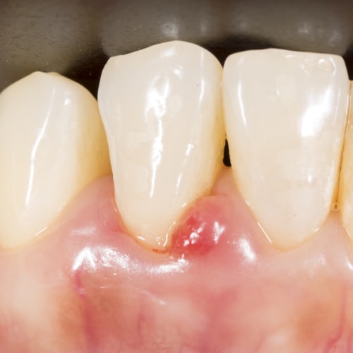
Die häufigste Ursache für berührungs- und druckempfindliche Zähne sind freiliegende Zahnhälse durch Zahnfleischrückgang oder Abnutzung des Zahnes.

Das Zahnfleisch zieht sich bei einer Entzündung wie der Gingivitis oder der Parodontitis zurück. Dem können Sie präventiv entgegnen mit einer guten und regelmässigen Mundhygiene in Kombination mit der regelmässigen Zahnpflege bei Ihrem Zahnarzt.

Die direkte Schädigung (Löcher und Frakturen) des Zahnschmelzes kann auch zu Problemen beim essen führen. Kauffunktionsstörungen wie Bruxismus sind eine häufige Ursache für die Zerstörung des Zahnschmelzes. Wenn Sie an Bruxismus leiden, empfehlen wir Ihnen eine CMD-Schiene um Ihre Zähne zu schützen.

Wenn der schmerzende Zahn bereits mit einer Krone oder Brücke behandelt wurde, ist es möglich, dass dieser Zahnersatz nicht mehr richtig sitzt und Kauschmerzen verursacht.

Die Ursachen für Aufbissschmerzen können sehr unterschiedlich sein. Aus diesem Grund ist es ratsam, die Ursache der Schmerzen binnen weniger Tage beim Zahnarzt abzuklären.

Eine Zahnfleischentzündung im Anfangsstadium (Gingivitis) kann zu Zahnfleischrückgang führen und Druckschmerzen verursachen.

Zahnschmerzen nach Unfall

Zahnschmerzen nach Zahnufall

Ein abgebrochener oder ausgeschlagener Zahn kann erhebliche Schmerzen verursachen.

Es ist wichtig, dass Sie sofort den Zahnarzt oder den zahnärztlichen Notdienst aufsuchen, denn ausgeschlagene Zähne sind sogar noch zu retten, wenn schnell reagiert wird. Zu diesem Zweck nehmen Sie den Zahn unbedingt mit in die Praxis.

Kälte und wärme empfindliche Zähne

Schmerzreaktionen auf Temperaturreize (z.B. bei heissen Getränken oder kalten Speisen wie Glace) können auf freiliegende Zahnhälse zurückzuführen sein. Die Ursachen für kälteempfindliche Zähne sind häufig freiliegende Zahnhälse, die von sehr feinen Dentinkanälchen durchzogen sind und so die Reize an den Zahnnerv weiterleiten. Schmerzreaktionen bei heissen oder kalten Speisen sollten deshalb immer von einem Zahnarzt untersucht werden.

Freiliegende Zahnhälse sind häufig ein Symptom einer Gingivitis, die durch eine gute Mundhygiene und regelmässige Prophylaxe verhindert werden kann.

Empfindliche Zähne

Angst vor dem Zahnarzt? Schmerzfrei und einfühlsam behandeln lassen

Zahnschmerzen sind unangenehm und können sich zu einer ernsthaften Erkrankung entwickeln, wenn sie nicht rechtzeitig behandelt werden. Es gibt viele Menschen, die vor dem Zahnarzt Angst haben und ihre Zähne immer weiter verfallen lassen. Dadurch wird die Situation nur noch schwieriger und die Behandlung in Zukunft komplizierter. Die Praxis von Dr. Nina van Sprundel ist auf die Anwendung schmerzfreier Behandlungsmethoden spezialisiert. Viele Angstpatienten konnten in der Vergangenheit ihre Angst überwinden und kommen heute regelmässig zu den Prophylaxeterminen. Unser Ziel ist es, den Kreislauf der Angst mit Ihnen zusammen zu durchbrechen und die Behandlung nicht weiter aufzuschieben.

Bruxismus Therapie mit Botox

Schmerzen im Kiefer

Von ab und zu bis hin zu chronischen Schmerzen: Immer häufiger klagen Patienten über Schmerzen in den Kiefergelenken, die häufig mit Kopf- und Nacken-schmerzen einhergehen. Kieferschmerzen können vielseitig auftreten. Altägliche Handlungen wie Essen, Trinken oder Sprechen, sind für Betroffene sehr belastend. 

Ein reiben, knirschen oder knacken der Kiefergelenke ist häufig die Ursache für die Schmerzen. Die Zahnmedizin bezeichnet diese Symptome als Craniomandibuläre Dysfunktion, auch CMD genannt. Die Diagnose einer CMD kann langwierig und kompliziert sein. Oft ist die Ursache der Krankheit kompliziert und nicht leicht zu behandeln.

Folgende Faktoren begünstigen die Kierferschmerzen:

  • Bei Stress oder im Schlaf können die Zähne durch Bruxismus zusammengepresst werden und reiben exzessiv auf den Kaufflächen gegeneinander.
  • Fehlstellungen oder fehlende Zähne führen zu Fehlbelastungen im Zahn-Mund-Kiefer-Bereich und können zu Kieferschmerzen und Zahnproblemen führen.

Wir empfehlen Ihnen, Lockerungsübungen durchzuführen, um die Stresspressur zu minimieren und den Kieferschmerzen entgegenzuwirken. Wärmeanwendungen können helfen, die Muskulatur zu entspannen und die Schmerzen zu lindern. Um weitere Schäden am Zahnschmelz zu verhindern, muss man ihn profesionell behandeln.

Zahnschmerzen im Babyalter von 4 bis 20 Monaten

Zahnschmerzen bei Babys

Milchzähne brechen in der Regel im Alter von vier bis acht Monaten durch. Die­se Zeit ist nicht nur für das Baby, son­dern für die gan­ze Fa­mi­lie an­stren­gend. 

Beissringe können Linderung beim Zahnen bringen. Diese sind im Gegensatz zu anderen Gegenständen, auf denen das zahnende Baby herumkaut, gut abwaschbar und frei von Schadstoffen. Einige Kauringe lassen sich kühlen und wirken abschwellend auf die Schleimhäute. Die gleiche Wirkung haben in kaltem Wasser getauchte Waschlappen oder Mullwindeln, besonders, wenn man eine Ecke davon verknotet. 

Bei anhaltenden Schmerzen kann das pflanzliche Zahngel mit Propolis von Osa helfen die Entzündungen während der Zahnungszeit zu lindern. Es ist für längere Behandlungen geeignet und kann bei Bedarf bis zum Durchtritt aller Milchzähne und der Backenzähne eingesetzt werden.

Zahnschmerzen bei Kindern

Die Milchzähne werden im Alter von etwa sechs Jahren durch erste bleibende Backenzähne ersetzt. Der Verlust der Milchzähne kann bis zum zwölften Lebensjahr oder noch länger dauern. Der Zahnwechsel kann mit Schmerzen einhergehen, bis alle Milchzähne durch bleibende Zähne ersetzt wurden.

Bei einer Erkältung oder einem Grippevirus können Zahnschmerzen als unangenehme Begleiterscheinung auftreten. Eine Erkältung kann das Immunsystem beeinträchtigen und die Zähne sind sensibler und schmerzempfindlicher als normal.

Eine natürliche Mundspülung mit Salbei- oder Kamillentee wirkt antibakteriell und kann eine Linderung der Zahnschmerzen und Entzündung bewirken. Es ist auch möglich, den Salbei direkt auf die betroffene Stelle zu geben.

Altbewährte Hausmittel wie Nelken und Rosmarin können Zahnschmerzen lindern. Wenn Ihr Kind schon in der Kindergarten-Phase ist, kann es die Gewürznelke oder den Rosmarin vorsichtig zerkauen. Durch die Freisetzung ätherischer Öle werden Keime im Mund abgetötet und der Schmerz gelindert.

Empfindliche Zähne

Häufig gestellte Fragen bei Zahnschmerzen

Gegen starke Zahnschmerzen helfen nur Schmerzmittel (Analgetika) wie z.B. Ibuprofen 400mg oder 600mg. Ibuprofen wirkt gleichzeitig entzündungshemmend.

Bei einer Entzündung des Zahnnervs ("Wurzelentzündung") werden folgende Symptome beobachtet, Schmerzen beim Aufbiss, Schmerzen beim Kauen, Schmerzen nach dem Trinken von kalten oder heissen Getränken, Dauerschmerzen, Schmerzen in der Nacht, ausstrahlende Schmerzen, z. T. bis in das Ohr, Druckschmerzen, pulsierende Schmerzen.

Fehlstellungen und Brüche der Zähne sind weitere mögliche Ursachen für Zahnschmerzen. Schmerzen treten häufig auf, wenn die Zähne zu wenig Platz im Kiefer haben. Durchbrechende Weisheitszähne können das Problem verschlimmern und zu drückenden Zahnschmerzen führen.

Medikamente wie Ibuprofen, Thomapyrin oder Paracetamol lindern wirksam Zahnschmerzen und haben entzündungshemmende Eigenschaften. Sie können eine Zahnentzündung jedoch nicht vollständig heilen. Sie sind zwar in der Lage, die Symptome vorübergehend zu lindern, beseitigen aber nicht die zugrunde liegende Ursache. Dies ist auch der Fall bei Hausmitteln auf pflanzlicher Basis. Eine Entzündung der Zähne erfordert eine professionelle Behandlung durch eine Zahnärztin oder einen Zahnarzt. Bei anhaltenden oder starken Zahnschmerzen ist es sehr wichtig, einen Zahnarzt aufzusuchen. Nur so können Langzeitschäden oder Komplikationen vermieden werden.

Helfen Schmerztabletten bei Zahnschmerzen nicht, können Sie eine Mundspülung mit Kamillentee, Salbeitee oder Pfefferminztee ausprobieren. Diese können vorübergehend eine schmerzlindernde Wirkung haben. Eine andere Möglichkeit ist, den Mund mit einer hoch konzentrierten Salzwasserlösung zu spülen. Es ist jedoch unbedingt erforderlich, dass Sie bei länger anhaltenden oder sehr starken Schmerzen so schnell wie möglich einen Termin in unserer Praxis vereinbaren. Eine Zahnnerventzündung, ein Abszess oder eine andere akute Entzündung können die Ursache sein. Zur Vermeidung von Komplikationen und zur Erhaltung Ihrer Zahngesundheit müssen solche Erkrankungen umgehend behandelt werden.

Zahnschmerzen oder Empfindlichkeiten sind nach einer neuen Füllung für einige Tage normal. Diese Beschwerden können sowohl durch die mechanische Behandlung als auch durch das für die Füllung verwendete Material verursacht werden. Bei manchen Menschen kann diese Empfindlichkeit jedoch länger anhalten, sogar bis zu sechs Monaten. Dies hängt von verschiedenen individuellen Faktoren ab, u.a. von der Füllungstiefe und davon, wie der einzelne Zahn reagiert. Wenn die Schmerzen jedoch stark sind oder über einen längeren Zeitraum anhalten, sollten Sie Ihren Zahnarzt zur Abklärung möglicher Probleme aufsuchen.

Kieferschmerzen können viele verschiedene Ursachen haben. Häufig werden sie durch stark kariös zerstörte Zähne verursacht. An diesen Zähnen hat sich bereits ein Abszess gebildet, der tief in den Kiefer eingedrungen ist. Auch Erkrankungen des Zahnfleisches, wie z.B. Parodontose, können den Kiefer in Mitleidenschaft ziehen und Schmerzen verursachen. Aber auch andere Faktoren können eine Rolle spielen. So können zum Beispiel Probleme mit dem Kiefergelenk, das Knirschen oder Pressen der Zähne zu Beschwerden führen. Ebenso können ein entzündeter oder drückender Weisheitszahn oder eine Entzündung des Zahnnervs zu Beschwerden im Kiefer führen. Zur Abklärung der genauen Ursache und zur Einleitung einer geeigneten Behandlung ist es daher ratsam, bei anhaltenden Kieferschmerzen einen Zahnarzt aufzusuchen.

Dass sich ein entzündeter Zahnnerv wieder beruhigt, ist tatsächlich möglich. Grundvoraussetzung dafür ist jedoch eine effektive Behandlung der zugrunde liegenden Ursache, wie z.B. Karies. Dabei ist es besonders wichtig, rechtzeitig zu behandeln, denn je früher damit begonnen wird, desto besser stehen die Chancen, dass die Entzündung vollständig ausheilt und keine weiteren Komplikationen nach sich zieht. Es ist also wichtig, nicht nur das Symptom, hier die Zahnnerventzündung, zu behandeln, sondern auch die Ursache, die zu diesem Symptom geführt hat.

Patienten, die an einer Entzündung der Kieferhöhle (Sinusitis maxillaris) leiden, berichten häufig über ein Gefühl von Zahnschmerzen im Bereich des Oberkiefers. Diese Schmerzen beschränken sich in der Regel nicht auf einen bestimmten Zahn, sondern treten als allgemeiner Druckschmerz an den Seitenzähnen des Oberkiefers auf. Es ist wichtig zu verstehen, dass dieser Schmerz durch die Entzündung der Kieferhöhle verursacht wird. Er ist nicht unbedingt ein Zeichen für ein Zahnproblem.

Wenn Ihre Zähne empfindlich auf Kälte reagieren, kann dies ein Zeichen für freiliegende Zahnhälse sein. Dies ist in der Regel auf einen Rückgang des Zahnfleisches zurückzuführen. Dies kann zu schmerzhaften Empfindungen führen, wenn Sie mit kalten oder heißen Speisen und Getränken, süßen, sauren oder salzigen Speisen oder sogar kalter Luft in Berührung kommen. Diese blitzartig auftretenden Schmerzen in der Umgebung der Zähne sind ein deutliches Signal dafür, dass etwas nicht in Ordnung ist, und sollten nicht ignoriert werden.

Schmerzen im Bereich der Weisheitszähne können sehr unangenehm sein, aber es gibt verschiedene Methoden, die Ihnen bei der Linderung der Schmerzen behilflich sein können. Eine Methode ist die sanfte Massage oder Kühlung des Zahnfleisches. Dadurch werden die Schmerzen gelindert. Ratsam ist auch der Verzicht auf das Kauen von Kaugummi, da dies die Schmerzen unter Umständen noch verstärken kann. Um die Schmerzempfindlichkeit zu verringern, kann Ihnen Ihr Zahnarzt auch eine desensibilisierende Salbe oder Creme verschreiben. Bitte beachten Sie, dass diese Strategien nur für eine kurzfristige Schmerzlinderung geeignet sind. Bei anhaltenden Schmerzen ist es wichtig, einen Zahnarzt aufzusuchen.

Schmerzen nach Zahnbehandlung

Zahnschmerzen können normalerweise bis zu einer Woche nach einer Zahnbehandlung auftreten. Ein Eingriff kann den bereits geschädigten Zahn oder das Zahnfleisch zusätzlich reizen und Schmerzen verursachen. Nachdem die Betäubung an der betroffenen Stelle nachgelassen hat, ist es normal, dass der Zahn noch einige Stunden oder Tage wehtut. 

Nach einer Zahnbehandlung sollten Sie sich erholen, die betroffene Stelle immer wieder kurz kühlen und den Zahn nicht zu stark belasten. Schmerzmittel wie Ibuprofen können auch bei starken Schmerzen helfen.

Cem Celik

Ich bin das erste Mal bei Dr. van Sprundel gewesen vor ca. 2 Wochen für eine Beratung zu neuen Veneers. 10 Tage später, war alles gefixt! Eine sensationelle Leistung und ich bin mit dem Ergebnis nicht zufrieden, sondern meine Erwartungen wurden übertroffen.

Hans Blaser

Hervorragende Leistung und sehr angenehmes Team & Praxis. Ich bin mit dem Resultat sehr zufrieden und kann Frau Dr. Nina van Sprundel und Team sehr empfehlen.

Jaqueline Adriano

Die Liebe zum Detail, die Dr. van Sprundel und ihr Team an den Tag legen, ist beispiellos. Eine Kombination aus qualitativ hochwertiger, kompetenter Beratung in einer entspannten und stilvollen Atmosphäre — nie weniger als fünf Sterne!

Sven Flory

Einfach die beste Zahnarztpraxis in Zug ... Ich fühlte mich bei Dr. van Sprundel hervorragend aufgehoben und kann daher die Praxis jedem weiterempfehlen.

Meinungen unserer Patienten

Google 4.8 Bewertungen lesen

«Kommen Sie regelmässig zur Dentalhygiene – eine regelmässige Prophylaxe ist das Beste, was Sie für Ihre Zähne tun können»

- Dr. Nina van Sprundel -

Ihre Zahnarztpraxis im Kanton Zug

Jeder Mensch ist individuell – darum ist jede Behandlung bei uns auch individuell. Alle Patienten können sich bei uns auf eines verlassen: Ihr schönstes Lächeln ist unser Ziel und das verfolgen wir kompromisslos mit viel Hingabe und Perfektion.

Gesunde & schöne Zähne

Sie träumen von einem strahlenden Lächeln mit hellen, gesunden Zähnen oder der Schliessung der Zahnlücke in den Vorderzähnen? Mit der ästhetischen Zahnmedizin können wir Ihnen helfen. Unsere Zahnbehandlungen sind auf Ihre individuellen Wünsche und Bedürfnisse zugeschnitten und garantieren ein optimales Ergebnis. Zusammen mit einer regelmässigen Zahnreinigung haben Sie dann ein gesundes Lächeln, das Sie stolz machen kann.

Strahlend schön

Zahngesundheitsteht an erster Stelle: Schöne und gesunde Zähne begleiten uns ein Leben lang. Darüber hinaus formen Ihre Zähne auch Ihr Gesicht. Ihr perfektes Lächeln sorgt für Ihre Ausstrahlung und definiert Ihre Lebensqualität. Überzeugen Sie sich von unserer Qualität – haben Sie Lust auf mehr?

Hoch
Back