Wir verwenden Cookies um Daten zu erheben. Diese helfen uns, Ihnen das bestmögliche Erlebnis unserer Seite zu gewährleisten. Wenn Sie unsere Seite weiterhin benutzen, stimmen Sie deren Verwendung automatisch zu.   

Zahnersatz - Mehr als nur ein ästhetisches Bedürfnis

Die Ursachen für Zahnverlust sind vielfältig. Sie können durch Karies, Zahnfleischentzündungen oder Unfälle verursacht werden. Durch die entstandene Lücke können die Nachbarzähne sich verschieben und den Kiefer fehlbelasten, was zu Kiefergelenksproblemen und Schmerzen im Kiefer führt. Zahnersatz kann den Verlust von Zähnen ausgleichen und die Funktionalität und Ästhetik wiederherstellen.

Es gibt verschiedene Arten von Zahnersatz, wie Brücken, Kronen und Implantate, die je nach individuellen Bedürfnissen und Gegebenheiten eingesetzt werden können. Ziel eines Zahnersatzes ist es, die Kaufähigkeit, Lautbildung (Phonetik) sowie die harmonische Optik des Gesichts wiederherzustellen und weiteren gesundheitlichen Beeinträchtigungen sowie Fehlbelastungen des restlichen Gebisses entgegenzuwirken.

Man unterscheidet grundsätzlich in festsitzenden und herausnehmbaren Zahnersatz. Festsitzender Zahnersatz wird verwendet, wenn die Lücke nicht gross ist und von Zähnen begrenzt wird, während herausnehmbarer Zahnersatz zum Einsatz kommt, wenn viele Zähne verloren gegangen sind.

Die verwendeten Materialien sind meist Metall, Keramik oder Kunststoff.

Welche Arten von festsitzendem Zahnersatz gibt es?

Die Entscheidung für den passenden Zahnersatz hängt von verschiedenen Faktoren ab, wie der medizinischen Indikation, den individuellen Kosten, der Ästhetik und dem Komfort. Im Bereich des festsitzenden Zahnersatzes gibt es: 

  • KronenWerden bei einer starken Zerstörung eines einzelnen Zahnes verwendet, um den restlichen Zahn zu schützen und seine Funktion wiederherzustellen.
  • Brücken: Sind geeignet, um kleine bis mittelgrosse Lücken zu schliessen. Sie werden an den benachbarten Zähnen befestigt und ersetzen die fehlenden Zähne.
  • ZahnimplantateSind eine dauerhafte Lösung, um einzelne fehlende Zähne zu ersetzen. Sie werden direkt im Kieferknochen verankert und weisen eine hohe Verträglichkeit sowie ein geringes Risiko für Komplikationen auf.
  • Inlays: Sind eine Einlagefüllung, die passgenau für den zu befüllenden Zahn angefertigt wird und einen Teil der Zahnsubstanz ersetzt.
  • Onlays: Sind ähnlich zu Inlays, bedecken aber im Gegensatz zu ihnen die gesamte Kaufläche des Zahnes und werden eingesetzt, wenn grössere Teile des Zahnes beschädigt sind. Sie gehen über die Zahnhöcker hinaus und verleihen dem erkrankten Zahn mehr Stabilität.

Implantatgetragene Prothese

Welche Arten von herausnehmbaren Zahnersatz gibt es?

Herausnehmbarer Zahnersatz wird eingesetzt, wenn viele Zähne verloren gegangen sind und umfasst:

  • Klammerprothesen oder Modellgussprothesen: Werden bei grösseren Lücken mit noch vorhandenen Restzähnen verwendet. Sie werden mithilfe von Klammern an den verbleibenden Zähnen befestigt.
  • Teleskopprothesen: Eine Alternative zu Klammerprothesen, bei der die Prothese über spezielle Doppelkronen auf den verbliebenen Zähnen befestigt wird.
  • Total- oder Vollprothesen: Sind geeignet, wenn alle Zähne in einem Kiefer (Ober- oder Unterkiefer) verloren gegangen sind. Sie ersetzen sowohl die fehlenden Zähne als auch das verloren gegangene Zahnfleisch.

Zudem können Implantate auch in Kombination mit herausnehmbarem Zahnersatz verwendet werden, um einen besseren Halt und Stabilität zu gewährleisten. Beispiel dafür sind klammerfreie Prothesen oder Hybridprothesen.

Welche Materialien werden für Zahnersatz verwendet?

Zahnersatz ist ein wichtiger Bestandteil der zahnmedizinischen Versorgung und kann aus verschiedenen Materialien bestehen. Dazu gehören unter anderem hypoallergene Kunststoffe, Metall, Keramik, Zirkonoxid und verschiedene Kombinationen dieser Materialien. Je nach individuellen Bedürfnissen und Anforderungen der Patienten wird der geeignete Zahnersatz ausgewählt.

Vollprothesen bestehen heutzutage in der Regel zu 100% aus Kunststoff, während Teilprothesen häufig noch ein Metallgerüst enthalten, an dem Halteelemente wie Druckknöpfe oder Doppelkronen befestigt sind. Diese sind dank der Verblendung mit zahnfleischfarbenem und zahnfarbenem Kunststoff allerdings nicht sichtbar. Auf Wunsch kann auch ein komplett metallfreier Zahnersatz angefertigt werden.

Keramik ist ein weiteres gängiges Material im Bereich des Zahnersatzes. Kronen und Brücken aus Vollkeramik werden besonders im ästhetischen Bereich bevorzugt, da sie eine optimale Farbbrillanz haben und sich an das natürliche Erscheinungsbild der eigenen Zähne anpassen können.

Insgesamt gibt es eine Vielzahl von Materialien, die für Zahnersatz verwendet werden können. Die Wahl des am besten geeigneten Materials hängt von den individuellen Bedürfnissen und Wünschen des Patienten ab und sollte stets in enger Zusammenarbeit zwischen Zahnarzt und Patient getroffen werden.

In unserer Praxis bevorzugen wir Zahnersatz aus Keramik. Abgesehen von der Ästhetik, die die natürlichen Zähne im Aussehen und der Lichtdurchlässigkeit perfekt nachahmt, ist Zahnersatz aus Keramik auch für seine gute Verträglichkeit bekannt. Keramik ist zahnfleischfreundlich, beugt der Entstehung neuer Zahnschäden vor und kann in der Zahnfarbe eingefärbt werden.

Wie wird der Zahnersatz eingesetzt und befestigt?

Zahnersatz wird auf verschiedene Weise eingesetzt und befestigt, abhängig von der Art des Zahnersatzes und den individuellen Bedürfnissen des Patienten. 

Festsitzender Zahnersatz wird normalerweise mit Zahnzement oder Schrauben befestigt, um einen dauerhaften Halt zu gewährleisten. Der Einsatz von temporärem Zement ermöglicht es, den Zahnersatz später ohne Beschädigung zu entfernen, während dauerhafter Zement einen dauerhaften Halt bietet. Implantate werden in den Kieferknochen eingesetzt und dienen als Basis für den darauf befestigten Zahnersatz. Kronen und Brücken können sowohl auf Implantaten als auch auf eigenen Zähnen befestigt werden.

Herausnehmbare Prothesen werden in Abhängigkeit von ihrem Fixierungsmechanismus eingesetzt. Dazu gehören Drahtklammern, geformte Clips und Präzisionsverankerungen. Diese Befestigungselemente halten den herausnehmbaren Zahnersatz an Ort und Stelle und ermöglichen es dem Patienten, den Zahnersatz bei Bedarf zu entfernen und zu reinigen.

Das Einsetzen und Befestigen von Zahnersatz ist ein wichtiger Teil des Prozesses, um dem Patienten wieder ein gesundes, funktionierendes Gebiss und Selbstvertrauen zu verleihen. Zusammen mit dem Zahnarzt sollte der Patient die verschiedenen Optionen sorgfältig abwägen und die beste Wahl für ihren individuellen Bedarf treffen.

Implantatgetragene Brücke

Wie lange dauert der gesamte Behandlungsvorgang für den Zahnersatz?

Die Dauer des gesamten Behandlungsvorgangs für den Zahnersatz kann je nach Art des Zahnersatzes und individuellen Faktoren variieren. Im Allgemeinen kann die Behandlung für eine vollständige Prothese etwa 1-2 Wochen in Anspruch nehmen, während bei herausnehmbaren Prothesen, die auf Implantaten fixiert sind, die Heilungszeit der Implantate einige Monate umfassen kann. Bei der All-on-4-Methode, bei der feste Zähne an einem Tag eingesetzt werden, erfolgt die Operation innerhalb von 1,5 bis 4 Stunden, abhängig von den individuellen Gegebenheiten, und die endgültigen Zähne werden spätestens nach einem Jahr eingesetzt.

Der gesamte Behandlungsvorgang besteht aus mehreren Schritten, wie der Voruntersuchung, der Herstellung von Abformungen und Prothesen, der Anpassung und Übergabe der Prothese, sowie eventuellen Nachkorrekturen und regelmässigen Kontrollen.

Wie pflegt man seinen Zahnersatz?

Die Pflege und Wartung des Zahnersatzes sind entscheidend für dessen Langlebigkeit und die Gesundheit der benachbarten Zähne. Egal, ob es sich um festsitzenden oder herausnehmbaren Zahnersatz handelt, ist eine gründliche Zahnpflege unerlässlich.

Bei festsitzendem Zahnersatz wie Kronen oder Brücken kann sich leicht Karies zwischen den Rändern und den natürlichen Zähnen bilden. Daher ist es wichtig, die übliche Zahnpflege wie das regelmässige Zähneputzen, den Einsatz von Zahnseide und Interdentalbürsten beizubehalten. Vermeiden Sie dabei den Einsatz von Zahnpasta mit starken Schleifmitteln, da diese den Kunststoff angreifen könnten. Bei unklaren Situationen empfiehlt es sich, den behandelnden Hauszahnarzt nach geeigneten Pflegeprodukten zu fragen.

Für herausnehmbaren Zahnersatz wie Teil- oder Vollprothesen ist es wichtig, diese täglich ein- bis zweimal aus dem Mund zu nehmen und mit einer sanften Bürste und speziellem Prothesenreiniger oder milder Seife zu reinigen. Spezielle Reinigungstabs können ebenfalls verwendet werden, um Verfärbungen zu verhindern. Achten Sie darauf, die Prothese während der Reinigung nicht fallen zu lassen oder zu beschädigen.

Zahnbrücke aus Keramik auf Model

Welche Risiken und Komplikationen können bei der Verwendung von Zahnersatz auftreten?

Allgemeine mögliche Komplikationen bei zahnärztlichen Eingriffen sind:

  • Zahnverlust durch Bearbeitung oder Druck durch Zahnersatz
  • Schmerzen und Überempfindlichkeit
  • Zahnfleischentzündung
  • Verletzungen im Mund

Um das Risiko von Komplikationen zu minimieren, ist es wichtig, gut informiert zu sein und die richtige Wahl bei der Art des Zahnersatzes zu treffen.

Zusätzliche Risiken, die speziell mit Zahnersatz verbunden sind, sind unter anderem:

  • Allergische Reaktionen auf Materialien
  • Zahnfleischrückgang
  • Kariesbildung
  • Loslösung des Zahnersatzes
  • Schäden am Zahnersatz selbst
  • Schädigung von Zähnen, Zahnfleisch und Kieferknochen durch Druck von herausnehmbaren Prothesen

Während der Eingewöhnungsphase an den Zahnersatz, die bis zu drei Monate dauern kann, sollten Patienten Geduld haben und möglicherweise auftretende Probleme wie Druckstellen, erhöhte Speichelproduktion oder Schwierigkeiten bei der neuen Kaufunktion dem Zahnarzt kommunizieren, um sie zeitnah behandeln zu können. Weiche Speisen und beidseitiges Kauen können in der Anfangszeit hilfreich sein. Heisse Speisen und klebrige Süssigkeiten sollten vorerst vermieden werden.

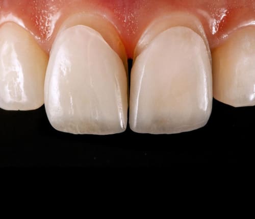
Veneers - Ästhetische Verbesserung für das Gebiss

Veneers sind hauchdünne Verblendschalen aus Keramik, die auf die Vorderseite der Zähne aufgeklebt werden, um ästhetische Verbesserungen vorzunehmen. Im Gegensatz zu Zahnersatz ersetzen Veneers keine fehlenden Zähne, sondern werden verwendet, um Zahnverfärbungen, leichte Zahnfehlstellungen und ungleichmässige Zahnoberflächen zu korrigieren. Veneers können jedoch in Kombination mit Zahnersatz wie Kronen oder Brücken eingesetzt werden, um ein harmonisches und ästhetisch ansprechendes Gesamtbild des Gebisses zu erzielen. Wenn Sie Interesse an Veneers oder anderen Zahnersatz-Optionen haben, sollten Sie sich von einem Zahnarzt beraten lassen, um die beste Lösung für Ihre individuellen Bedürfnisse zu finden.

Häufig gestellte Fragen zu Zahnersatzlösungen

Abhängig von der individuellen klinischen Situation können fehlende Frontzähne auf unterschiedliche Weise ersetzt werden. Als einfache, schnelle und ästhetisch ansprechende Lösung bieten sich häufig Adhäsivbrücken und Marylandbrücken an. Dabei wird der Zahnersatz unsichtbar auf ein oder zwei gesunde, idealerweise kariesfreie und gefüllte Nachbarzähne geklebt. Je nach Situation und Bedarf kommen auch andere Möglichkeiten wie Keramikbrücken, Zahnimplantate oder Prothesen in Frage. Um die optimale Zahnersatzlösung zu finden, sollte immer eine individuelle Beratung erfolgen, um die beste Lösung auswählen zu können.

Cem Celik

Ich bin das erste Mal bei Dr. van Sprundel gewesen vor ca. 2 Wochen für eine Beratung zu neuen Veneers. 10 Tage später, war alles gefixt! Eine sensationelle Leistung und ich bin mit dem Ergebnis nicht zufrieden, sondern meine Erwartungen wurden übertroffen.

Hans Blaser

Hervorragende Leistung und sehr angenehmes Team & Praxis. Ich bin mit dem Resultat sehr zufrieden und kann Frau Dr. Nina van Sprundel und Team sehr empfehlen.

Jaqueline Adriano

Die Liebe zum Detail, die Dr. van Sprundel und ihr Team an den Tag legen, ist beispiellos. Eine Kombination aus qualitativ hochwertiger, kompetenter Beratung in einer entspannten und stilvollen Atmosphäre — nie weniger als fünf Sterne!

Sven Flory

Einfach die beste Zahnarztpraxis in Zug ... Ich fühlte mich bei Dr. van Sprundel hervorragend aufgehoben und kann daher die Praxis jedem weiterempfehlen.

Meinungen unserer Patienten

Google 4.8 Bewertungen lesen

«Kommen Sie regelmässig zur Dentalhygiene – eine regelmäsige Prophylaxe ist das Beste, was Sie für Ihre Zähne tun können»

- Dr. Nina van Sprundel -

Ihre Zahnarztpraxis im Kanton Zug

Jeder Mensch ist individuell – darum ist jede Behandlung bei uns auch individuell. Alle Patienten können sich bei uns auf eines verlassen: Ihr schönstes Lächeln ist unser Ziel und das verfolgen wir kompromisslos mit viel Hingabe und Perfektion.

Gesunde & schöne Zähne

Sie träumen von einem strahlenden Lächeln mit hellen, gesunden Zähnen oder der Schliessung der Zahnlücke in den Vorderzähnen? Mit der ästhetischen Zahnmedizin können wir Ihnen helfen. Unsere Zahnbehandlungen sind auf Ihre individuellen Wünsche und Bedürfnisse zugeschnitten und garantieren ein optimales Ergebnis. Zusammen mit einer regelmässigen Zahnreinigung haben Sie dann ein gesundes Lächeln, das Sie stolz machen kann.

Strahlend schön

Zahngesundheitsteht an erster Stelle: Schöne und gesunde Zähne begleiten uns ein Leben lang. Darüber hinaus formen Ihre Zähne auch Ihr Gesicht. Ihr perfektes Lächeln sorgt für Ihre Ausstrahlung und definiert Ihre Lebensqualität. Überzeugen Sie sich von unserer Qualität – haben Sie Lust auf mehr?

Hoch
Back