Wir verwenden Cookies um Daten zu erheben. Diese helfen uns, Ihnen das bestmögliche Erlebnis unserer Seite zu gewährleisten. Wenn Sie unsere Seite weiterhin benutzen, stimmen Sie deren Verwendung automatisch zu.   

Zahnarztpraxis Baar 

Schöne Zähne dank ästhetischer Zahnmedizin

Schöne Zähne, die natürlich weiss strahlen – die Sie gut aussehen lassen und Ihren Look und Ihren Auftritt perfektionieren! Das ist unser Ziel und unsere Passion!

Schöne Zähne sind der Schlüssel zu einem strahlenden Lächeln und einer selbstbewussten Ausstrahlung. 

Wir bieten Ihnen hoch individuelle Behandlungsmethoden und setzen auf modernste Technologien, um Ihnen einzigartige und schöne Zähne zu ermöglichen. Unser Team rundum Dr. Nina van Sprundel übernimmt die Verantwortung, ein Lächeln zu schaffen, das Ihrer Persönlichkeit und Ihrem Gesicht entspricht. Ein intraoraler Scan, ein Fotostatus und eine voll digitale Planung sind Teil unserer Behandlungsmethoden. 

Unser Ziel ist es, Ihnen ein natürlich schönes Lächeln zu verleihen, indem wir Ihre Zähne und das Zahnfleisch in die richtige Proportion bringen und Ihnen einzigartige Details mit künstlerischem Talent verleihen.

Unsere Erfahrung und unser Wissen helfen uns dabei, Ihnen die bestmögliche Lösung zu bieten. Lesen Sie weiter um verschiedene ästhetische Zahnprobleme und mögliche Lösungsansätze kennenzulernen.

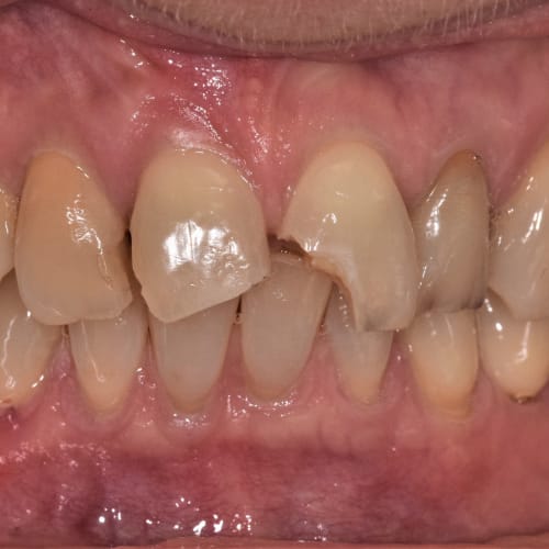
Korrigieren der Schneidekante im Frontzahnbereich

Ein ästhetisch ansprechendes Lächeln kann ein echter Schlüssel zum Erfolg sein. Für viele jedoch sind die Inzisalkanten der Oberkiefer-Schneidezähne zu kurz und der Zahnbogen verläuft gerade oder umgekehrt, was zu einem unästhetischen Erscheinungsbild führt.

Glücklicherweise gibt es Lösungen, mit denen dieses Problem behoben werden kann. Unsere Patientin hat sich entschieden, die Zahnposition mit Invisalign zu korrigieren und die Zähne mit Veneers zu verschönern

Dies hat dazu geführt, dass ihr Lächeln neu gestaltet werden konnte und die Schneidekante wieder in die korrekte Position gebracht wurde. Das Ergebnis war atemberaubend. Unsere Patientin erhielt ein ästhetisch ansprechendes Lächeln, das ihr mehr Selbstvertrauen und mehr Ausstrahlung verlieh. 

Digitale 3D Planung einer unsichtbaren Zahnspange

Invisalign für schöne und gerade Zähne

Eine schiefe Zahnstellung ist nicht nur unästhetisch, sondern auch eine Ursache für viele medizinische Probleme. Unter anderem erschwert eine schiefe Zahnstellung die Reinigung der Zähne und führt zu einem ungleichmäßigen Abnutzungsprozess.

Glücklicherweise ist es heutzutage möglich, schiefe Zähne komfortabel und unsichtbar zu korrigieren. Mit der Invisalign Technologie können gerade Zähne erreicht werden, ohne dass der Patient Unannehmlichkeiten erleiden muss.

Invisalign-Zahnschienen sind sowohl bequem als auch unauffällig und helfen dabei, den Zahnsubstanzverlust zu stoppen und die Zähne zu verschönern. Dank der Invisalign-Technologie können Patienten endlich wieder mit geraden Zähnen aufwachen und sich über ein strahlendes Lächeln freuen.

Warum wir ausschliesslich Keramik für Ihre Zähne verwenden?

Als Zahnärzte lieben wir Keramik als Zahnersatz, weil sie eine natürlich aussehende und langlebige Option für den Ersatz fehlender oder beschädigter Zähne bietet. Keramik hat viele Vorteile gegenüber anderen Alternativen.

  • Erstens ist Keramik ein sehr starkes Material, das eine hervorragende Abnutzungsbeständigkeit aufweist. Es kann einer normalen täglichen Belastung standhalten und ist so langlebiger als andere Materialien
  • Zweitens bietet Keramik ein natürliches Aussehen, das sich in die natürliche Struktur des Mundes einfügt. Es ist auch möglich, die Farbe der Keramik so zu gestalten, dass sie dem natürlichen Zahnfleisch ähnlich ist, sodass der Zahnersatz nicht. Deswegen lieben wir Zahnersatz wie Kronen, Brücken und Veneers aus Keramik.

Korrigieren von verkürzten Zähnen mit Hilfe von Veneers

Dieser Patient hatte das Problem, dass seine Zähne durch seinen Bruxismus, einem unkontrollierten Zähneknirschen, über die Jahre abgenutzt und sich verkürzt hatten. Dies führte dazu, dass sein Lächeln nicht mehr natürlich wirkte.

Um dieses Problem zu lösen, wurde eine Kombination aus Invisalign und Veneers eingesetzt. Zuerst wurde eine Invisalign-Behandlung durchgeführt, um die Zahnstellung zu korrigieren und die Ursache des Abnutzens zu beseitigen. Danach wurden die Zähne mit Veneers verlängert, um sie wieder in ihre natürliche Länge und Form zu bringen.

Das Ergebnis war ein strahlendes Lächeln mit geraden Zähnen, das dem Patienten mehr Selbstvertrauen und ein besseres Wohlbefinden verlieh.

Wiederherstellung der Zahnform nach einem Unfall mit Hilfe von Kronen

Unsere Patientin hatte ihre Frontzähne durch einen Unfall zerstört und musste diese wiederherstellen lassen. Um der Patientin ein schönes Lächeln zu geben, haben wir uns entschieden die Zahnform durch die Verwendung von Kronen zu verbessern.

Kronen sind eine Art der Zahnkorrektur, bei der eine künstliche Zahnkrone auf den bestehenden Zahn gesetzt wird. Dadurch wird die ursprüngliche Form und Größe des Zahns wiederhergestellt und kann so wieder normal funktionieren.

Bei der Verwendung von Kronen kann man nicht nur die ästhetischen Eigenschaften verbessern, sondern auch die Funktionalität der Zähne wiederherstellen. Dazu haben wir moderne Methoden verwendet, bei denen mithilfe von künstlicher Intelligenz die passende Zahnform für unseren Patienten gefunden wurde. Dadurch wurde die Form des Gesichts, bis hin zur Persönlichkeit des Patienten, berücksichtigt. Dies konnten wir auch vor der Behandlung simulieren. 

Schlussendlich konnten wir unserem Patienten ein schönes Lächeln zurückgeben und er ist mehr als zufrieden mit dem Ergebnis.

Korrigieren des Zahnfleischverlaufs

Unsere Patientin hatte ein Problem mit dem Verlauf des Zahnfleischs. Sie wollte sich im Ausland günstig Kronen machen lassen und war mit dem Ergebnis unzufrieden, da es eine Lücke zwischen dem Zahnfleisch und den Kronen gab.

Um das Problem zu lösen, haben wir eine Frontzahnbrücke aus Keramik angefertigt, um die Lücke zwischen den Zähnen zu schliessen. Dann haben wir die benachbarten Zähne mit Kronen versorgt, um den Zahnfleischverlauf zu korrigieren. Mit der neuen Brücke und den Kronen konnten wir den Zahnfleischverlauf wieder in Balance bringen und der Patientin ein natürliches, symmetrisches Lächeln geben.

Ein breites und schönes Lächeln dank Smilemakeover mit Kronen

Die Patientin hatte ein Problem mit ihrem zu schmalen Oberkiefer und den sichtbaren Zähnen beim Lächeln. Um das Problem zu lösen, entschied sie sich für ein Smilemakeover mit neuen Kronen. Ihr neues Lächeln ist jetzt breit und schön.

Zahnaufhellung durch Bleaching

Ein strahlendes Lächeln ist ein wichtiger Bestandteil unseres Selbstwertgefühls. Es verbindet uns mit anderen und verleiht uns eine natürliche Schönheit. Aber für viele Menschen ist ein strahlendes Lächeln ein Problem, da ihre Zähne oft verfärbt, unregelmäßig geformt und vergilbt sind.

Dank Bleaching ist es jetzt einfacher denn je, helle, schöne und gerade Zähne zu bekommen. Die Behandlung ist schnell, effizient und minimalinvasiv und kann Ihnen helfen, Ihre Zähne in ein wunderschönes Weiss zu verwandeln.

Eine Aufhellung der Zähne kann Ihnen ein völlig neues Lächeln verleihen. Es verjüngt das Gesicht und verbessert das Erscheinungsbild. Es hilft Ihnen, Ihr Selbstvertrauen zu stärken und Ihren Glanz zu verstärken.

Cem Celik

Ich bin das erste Mal bei Dr. van Sprundel gewesen vor ca. 2 Wochen für eine Beratung zu neuen Veneers. 10 Tage später, war alles gefixt! Eine sensationelle Leistung und ich bin mit dem Ergebnis nicht zufrieden, sondern meine Erwartungen wurden übertroffen.

Hans Blaser

Hervorragende Leistung und sehr angenehmes Team & Praxis. Ich bin mit dem Resultat sehr zufrieden und kann Frau Dr. Nina van Sprundel und Team sehr empfehlen.

Jaqueline Adriano

Die Liebe zum Detail, die Dr. van Sprundel und ihr Team an den Tag legen, ist beispiellos. Eine Kombination aus qualitativ hochwertiger, kompetenter Beratung in einer entspannten und stilvollen Atmosphäre — nie weniger als fünf Sterne!

Sven Flory

Einfach die beste Zahnarztpraxis in Zug ... Ich fühlte mich bei Dr. van Sprundel hervorragend aufgehoben und kann daher die Praxis jedem weiterempfehlen.

Das sagen unsere Patienten

Google 4.8 Bewertungen lesen

»Die Schönheit der Dinge lebt in der Seele dessen, der sie betrachtet. Charme ist der unsichtbare Teil der Schönheit, ohne den niemand wirklich schön sein kann. Poesie ist Wahrheit, die in Schönheit wohnt.«

Unsere treuen Partner

Strahlend schön

Zahngesundheitsteht an erster Stelle: Schöne und gesunde Zähne begleiten uns ein Leben lang. Darüber hinaus formen Ihre Zähne auch Ihr Gesicht. Ihr perfektes Lächeln sorgt für Ihre Ausstrahlung und definiert Ihre Lebensqualität. Überzeugen Sie sich von unserer Qualität – haben Sie Lust auf mehr?

Hoch
Back