Wir verwenden Cookies um Daten zu erheben. Diese helfen uns, Ihnen das bestmögliche Erlebnis unserer Seite zu gewährleisten. Wenn Sie unsere Seite weiterhin benutzen, stimmen Sie deren Verwendung automatisch zu.   

Die Mikrochirurgische Wurzelspitzenresektion rettet viele Zähne

Leider werden in der Schweiz, Europa und weltweit immer noch zu viele Zähne vorschnell entfernt, um sie dann durch eine Brücke oder ein kostspieliges Implantat zu ersetzen.

Das muss nicht sein, denn mit einer MWR (Mikrochirurgischen Wurzelspitzenresektion) lassen sich viele dieser vorgeschädigten Zähne langfristig und dauerhaft retten. In den letzten 6 Jahren haben wir über 5000 Patienten nach dieser Methode erfolgreich behandelt.

Bei einer akuten Entzündung stirbt der Zahnnerv ab und muss vom Zahnarzt per Wurzelspitzenresektion entfernt werden. Nach einer klassischen Wurzelspitzenresektion können zurückbleibende Bakterien im infizierten Wurzelkanalsystem zu einer erneuten Infektion des gesamten inneren Zahnes führen.

Die Mikrochirurgische Wurzelspitzenresektion (MWR) ist dann oft die letzte Möglichkeit, diesen Zahn zu erhalten. Die Erfolgsquote einer MWR ist höher als bei einer konventionellen Wurzelspitzenresektion und liegt derzeit bei 93,7%.

Wann benötige ich eine mikrochirurgische Wurzelspitzenresektion?

  • Ihr Zahn schmerzt weiterhin nach einer klassischen Wurzelbehandlung
  • Sie haben Aufbissbeschwerden an einem Zahn
  • Das Zahnfleisch ist ständig angeschwollen und druckempfindlich
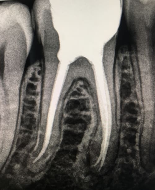
  • Auf dem Röntgenbild sind an der Wurzelspitze dunkle Felder zu erkennen
  • Sie haben an dem Zahn einen kleinen „Pickel“ aus dem sich Sekret entleert
  • Sie haben unangenehmen Mundgeruch
  • Sie fühlen sich durch die chronische Entzündung schlapp und antriebslos
  • Ihr Zahn hat bereits einen Stift zur Stabilisierung der Krone
  • Der Zahn wurde in der Vergangenheit schon einmal chirurgisch behandelt
  • Das Röntgenbild zeigt, dass die Wurzelfüllung über die Wurzelspitze hinaus geht

Bei einer klassischen Wurzelbehandlung wird der Hohlraum im Wurzelkanal erweitert, gereinigt und mit einer Wurzelfüllung versehen. Das hochkomplexe Kanalsystem macht es jedoch fast unmöglich, sämtliche Minikanäle im Zahn zu finden und dicht zu verschliessen. Zudem ist es bei jedem Menschen individuell, wie ein Fingerabdruck.

Die Folge: die an der Wurzelspitze verbliebenen Bakterien verursachen weiterhin eine Entzündung mit andauernden Schmerzen. In dieser Situation stimmen viele Patienten häufig einer vorschnellen Zahnentfernung zu. Das muss nicht sein. Mit einer Mikrochirurgischen Wurzelspitzenresektion (MWR) kann man viele Zähne erhalten.

Dr. Frank Willebrand - Spezialist für mikrochirurgische Wurzelspitzenresektionen

Frank Willebrand ist ein renommierter Oralchirurg, der sich auf mikrochirurgische Wurzelspitzenresektionen spezialisiert hat. Durch seine fundierte Ausbildung, langjährige Erfahrung und stetige Forschung auf diesem Gebiet hat er das Verfahren erfolgreich in der Praxis integriert und rettet tausende von Zähnen pro Jahr für seine Patienten. 

Dr. Willebrand wird sein Fachwissen nun in der Praxis von Dr. Nina van Sprundel zur Verfügung stellen. Dank seiner Expertise in diesem innovativen Verfahren profitieren Patienten von einer hohen Erfolgsquote von 93,7%, im Vergleich zu 40-90% bei der konventionellen Wurzelspitzenresektion. Dr. Willebrand setzt sein umfassendes Fachwissen und seine Forschungsergebnisse ein, um das bestmögliche Ergebnis für seine Patienten zu erzielen und ihre Zähne langfristig zu erhalten.

Vorteile der Mikrochirugischen Wurzelspitzenresektion gegenüber einer klassischen Wurzelspitzenresektion

Die Verwendung eines Operationsmikroskops und anderer mikrochirurgischen Spezialinstrumente erlauben eine besonders exakte Reinigung und Füllung der Wurzelkanäle von der Wurzelspitze her. 

Feinste Strukturen wie Nebenkanäle oder Verzweigungen können besser aufbereitet werden als bei der klassischen Wurzelspitzenresektion. Dadurch wird eine erneute Infektion des inneren Zahnes vermieden. Da nur erkranktes Gewebe entfernt und der Zugang zur Wurzelspitze klein gehalten wird, werden Schmerzen, Wundheilung und Narbenbildung verbessert. Das umliegende, gesunde Gewebe wird somit optimal geschont. Die ausgefeiltere Technik ermöglicht zudem eine bessere Beurteilung des Behandlungserfolgs im Röntgenbild.

Insgesamt liegt die Erfolgsprognose bei der mikrochirurgischen Wurzelspitzenresektion um ein Vielfaches höher als die der klassischen Behandlungsmethode. Diese verbesserten Erfolgsraten führen dazu, dass der eigene Zahn erhalten werden kann und aufwendige und teure Behandlungen wie Brücken oder Implantate vermieden werden können.

Ablauf der mikrochirugischen Wurzelspitzenresektion

Wir wenden das nachweislich bessere Verfahren der mikrochirurgischen Wurzelspitzenresektion nach Prof. Kim (USA) an.

Unter Verwendung eines modernen Operationsmikroskops wird in jeden Wurzelkanal eine mindestens 2 bis 3 Millimeter tiefe Öffnung an der Wurzelspitze präpariert. Sämtliche mikroskopisch kleinste Seitenkanäle und Verästelungen an der Wurzelspitze, sowie erkranktes Gewebe werden entfernt.

Mittels Ultraschall-Einsätzen werden die Kanäle gereinigt und mit einem speziellen biokeramischen Füllungsmaterial gefüllt.

Nach der Desinfektion und Trocknung werden die Wurzelkanäle mit einem biokompatiblem retrograden Verschluss unter dem Operationsmikroskop vollständig bakteriendicht verschlossen und abgedichtet.

Der Kieferknochen regeneriert sich vollständig und der Zahn kann langfristig erhalten werden.

Überregionale und internationale Patienten können am Operationstag wieder nach Hause fahren/fliegen.

Die Nachbehandlung übernimmt dann der Hauszahnarzt am Heimatort. Nach 2 Tagen sind die Patienten in der Regel wieder voll arbeitsfähig.

Vorteile der mikrochirurgischen Wurzelspitzenresektion für Sie als Patient

Alle Patienten, die nach unserer Methode operiert werden, sehen wir nach 3 Monaten und ggf. nochmal nach 12 Monaten wieder, um zu kontrollieren, ob es zu einer Ausheilung an der Wurzelspitze gekommen ist.
Dies lässt sich röntgenologisch genau feststellen und definieren.

Die Regeneration des Knochens an der behandelten Wurzelspitze ist ein Beweis für die vollständige Wiederherstellung der vollen Kaufunktion.

Zusätzlich berichten die Patienten über ihren Heilungsverlauf und machen eine Aussage über die Wiederherstellung der vollen Kaufunktion und die Belastbarkeit des Zahnes.

Erst wenn alle diese Parameter erfolgreich erfüllt sind, kann von einem dauerhaften Erfolg der Therapie gesprochen werden.

Die behandelten Zähne können dann nach unserer Freigabe vom Zahnarzt mit Zahnersatz (Kronen, Brücken, Halteelemente für Prothesen etc.) weiterbehandelt werden.

Die Erfolgsquote liegt derzeit bei 93,7 %. In den letzten 6 Jahren haben wir über 5000 Patienten nach dieser Methode erfolgreich behandelt. Das ist eine echte Alternative zum Implantat.

Wie verläuft die Genesung nach einer mikrochirurgischen Wurzelspitzenresektion?

Die Genesungszeit nach einer mikrochirurgischen Wurzelspitzenresektion variiert je nach individueller Situation und Komplexität des Eingriffs. Insgesamt ist diese Methode jedoch schonender und angenehmer als die herkömmliche Wurzelspitzenresektion. Daher kann man davon ausgehen, dass die Genesung in der Regel schneller und komplikationsärmer verläuft. 

Nach dem Eingriff können Schmerzen und Schwellungen auftreten, die jedoch meist nur 2-3 Tage andauern. Viele Patienten berichten sogar, dass sie weniger Schmerzen hatten als erwartet und allenfalls vorsichtshalber Schmerzmittel genommen haben. In der Regel erhalten Patienten für diese Zeit eine Krankschreibung.

Cem Celik

Ich bin das erste Mal bei Dr. van Sprundel gewesen vor ca. 2 Wochen für eine Beratung zu neuen Veneers. 10 Tage später, war alles gefixt! Eine sensationelle Leistung und ich bin mit dem Ergebnis nicht zufrieden, sondern meine Erwartungen wurden übertroffen.

Hans Blaser

Hervorragende Leistung und sehr angenehmes Team & Praxis. Ich bin mit dem Resultat sehr zufrieden und kann Frau Dr. Nina van Sprundel und Team sehr empfehlen.

Jaqueline Adriano

Die Liebe zum Detail, die Dr. van Sprundel und ihr Team an den Tag legen, ist beispiellos. Eine Kombination aus qualitativ hochwertiger, kompetenter Beratung in einer entspannten und stilvollen Atmosphäre — nie weniger als fünf Sterne!

Sven Flory

Einfach die beste Zahnarztpraxis in Zug ... Ich fühlte mich bei Dr. van Sprundel hervorragend aufgehoben und kann daher die Praxis jedem weiterempfehlen.

Meinungen unserer Patienten

Google 4.8 Bewertungen lesen

«Kommen Sie regelmässig zur Dentalhygiene – eine regelmäsige Prophylaxe ist das Beste, was Sie für Ihre Zähne tun können»

- Dr. Nina van Sprundel -

Ihre Zahnarztpraxis im Kanton Zug

Jeder Mensch ist individuell – darum ist jede Behandlung bei uns auch individuell. Alle Patienten können sich bei uns auf eines verlassen: Ihr schönstes Lächeln ist unser Ziel und das verfolgen wir kompromisslos mit viel Hingabe und Perfektion.

Gesunde & schöne Zähne

Sie träumen von einem strahlenden Lächeln mit hellen, gesunden Zähnen oder der Schliessung der Zahnlücke in den Vorderzähnen? Mit der ästhetischen Zahnmedizin können wir Ihnen helfen. Unsere Zahnbehandlungen sind auf Ihre individuellen Wünsche und Bedürfnisse zugeschnitten und garantieren ein optimales Ergebnis. Zusammen mit einer regelmässigen Zahnreinigung haben Sie dann ein gesundes Lächeln, das Sie stolz machen kann.

Strahlend schön

Zahngesundheitsteht an erster Stelle: Schöne und gesunde Zähne begleiten uns ein Leben lang. Darüber hinaus formen Ihre Zähne auch Ihr Gesicht. Ihr perfektes Lächeln sorgt für Ihre Ausstrahlung und definiert Ihre Lebensqualität. Überzeugen Sie sich von unserer Qualität – haben Sie Lust auf mehr?

Hoch
Back