Wir verwenden Cookies um Daten zu erheben. Diese helfen uns, Ihnen das bestmögliche Erlebnis unserer Seite zu gewährleisten. Wenn Sie unsere Seite weiterhin benutzen, stimmen Sie deren Verwendung automatisch zu.   

Zahnarztpraxis Baar 

Veneers für ein ewig strahlendes Lächeln, das Ihr Selbstvertrauen stärkt!

Individuell für Sie angefertigte und lichtdurchlässige Verblendschalen aus Keramik.

Der Begriff stammt aus dem Englischen und bezeichnet eine Verblendschale, Fassade oder Furnier. Die hauchdünnen, lichtdurchlässigen Veneers bestehen aus Keramik oder einem Kunststoff-Keramikgemisch.

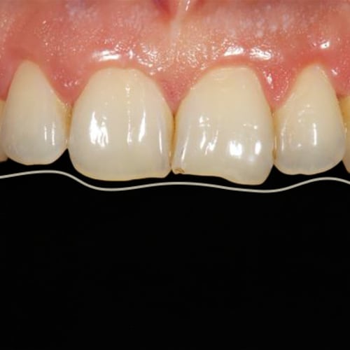
Zahnlücken, Zahnverfärbungen und schiefe Zähne verschwinden hinter den hauchdünnen Venneers. Bei dieser Art der Behandlung erhalten die Zähne ein ästhetisches Aussehen und die Zahnfarbe kann bei dieser Art der Behandlung individuell korrigiert werden.

Unterschiedliche Arten von Veneers kommen zum Einsatz. Bei der Wahl des Verfahrens wird der Zustand der Zähne berücksichtigt. Die Unterschiede betreffen Stärke, Befestigung und Material. 

Konventionelle Keramik Veneers

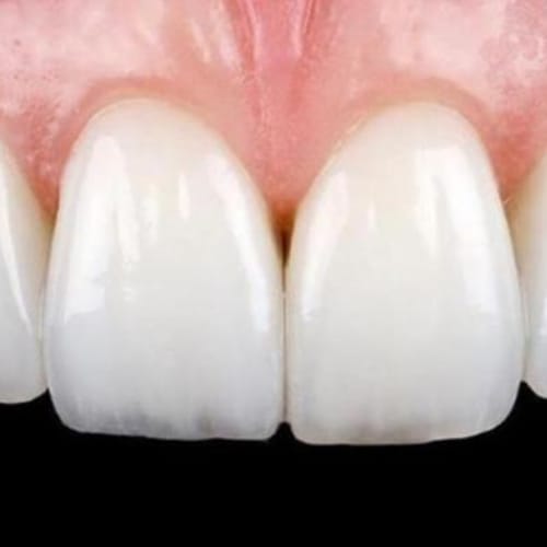
Veneers aus Keramik sind hauchdünne, transparente Schalen, die ein absolut natürliches Erscheinungsbild verleihen. Zudem ist Keramik ein Material von hoher Bioverträglichkeit, das keine allergischen Reaktionen hervorruft. Die ausgereifte Verfahrenstechnik, mit der die Schalen hergestellt werden, gewährleistet ein nicht verfärbendes Ergebnis und schöne weisse Zähne für viele Jahrzehnte. Vollkeramische Veneers sind die beste Wahl denn der Werkstoff lässt sich sehr gut verarbeiten und vereint eine natürliche Transparenz mit einer hohen Robustheit.

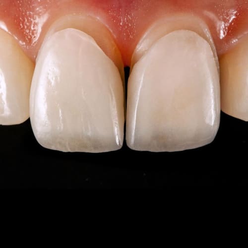
Veneers aus Keramik sind nur 0,4 bis 0,8 Millimeter dick und erfordern demnach nur ein minimales abschleifen der Zahnsubstanz. Im Vergleich zu einer Behandlung mithilfe einer Zahnkrone erfordert die Anbringung von Veneers aus Keramik aber deutlich weniger Abtragung gesunder Substanz der eigenen Zähne, um den Zahn auf die Behandlung vorzubereiten.

Non-Prep-Veneers / Lumineers

Die Technik wurde in den USA entwickelt und ist dort patentiert. Sie basiert auf zahnspezifischen Klebstoffen. Lumineers Verblendschalen sind mit etwa 0,3mm Dicke deutlich dünner als konventionelle Keramik Veneers. Die Anbringung erfordert (meist) keine Präparation der Zähne. Somit ist eine Betäubung bei der Anbringung nicht notwendig, weshalb diese Methode als schmerzfrei gilt. Der Abdruck der Zähne kann ohne Vorbearbeitung genommen werden. Ein spezielles Kleber- und Verbundmaterial ermöglicht die dauerhafte Verbindung zwischen dem Zahn und der aufzubringenden Lumineer-Schale.

Die Möglichkeiten mit Non-Prep-Veneers sind jedoch eingeschränkter. Nur für sehr wenige Fälle eignet sich diese Methode. Ein Beispiel welches gegen den Einsatz von Lumineers spricht sind besonders dunkle Zähne. Diese können durch die dünne Keramik scheinen. In diesem Fall empfehlen wir klassische Veneers.

Patienten, die Knirschen und Pressen, sind ebenfalls nicht geeignet für kosmetische Zahnbehandlungen mit Lumineers. Die Klebekraft der Schalen wird durch die einwirkenden Kräfte verringert, was zu einem Abplatzen der Schalen führt.

Composite Veneers / Sofort Veneers

Composite-Veneers sind Non-Prep-Veneers, bei denen das ästhetische Composite-Material direkt auf die Zähne aufgeschichtet wird, ohne vorher den Zahn abzuschleifen. Dies geschieht in der Regel in einer Sitzung und ist vollkommen schmerzfrei. Dieses Verfahren ist geeignet, Zähne zu vergrössern, kleine Lücken zu schliessen und/oder Zähne zu verlängern.  Frakturen können repariert und leichte Verfärbungen abgedeckt werden. Kleine Fehlstellungen können mit Composite Veneers korrigiert werden.

Sofort-Veneers haben eine kürzere Lebensdauer als Keramik-Veneers. Die Praxis von Dr. Nina van Sprundel rät von der Verwendung von Composite Veneers ab. Eine langlebige Alternative wie Keramik Veneers oder Kronen aus Keramik ermöglicht es Patienten, ein langlebiges Ergebnis zu erzielen, das nicht nach einigen Jahren erneuert werden muss.

Krone, Lumineers oder klassische Keramik Veneers?

Die Wahl zwischen einer Krone, Lumineers oder klassischen Keramik Veneers ist abhängig von der jeweiligen Situation des Patienten. Wenn eine grössere Abnützung vorliegt, ist eine Krone die beste Wahl. Sie deckt den gesamten Zahn ab, was zu einer besseren Stabilität führt. Allerdings muss bei einer Krone der Zahn rundherum beschliffen werden.

Ein klassisches Keramik Veneers ist in Fällen, in denen nur eine leichte Abnutzung vorliegt oder eine reine ästhetische Behandlung gewünscht ist, eine sehr gute Wahl. Sie ist preiswerter und der Zahn muss lediglich minimal an der Vorderseite beschliffen werden (0,3-0,5 mm). Lumineers sind eine gute Alternative, wenn die Abnutzung und Zahnverfärbung leicht ist und der Zahn nicht abgeschliffen werden soll. Sie können allerdings nur in seltenen Fällen genutzt werden.

Die Entscheidung zwischen Kronen, Lumineers oder klassischen Keramik Veneers hängt vom jeweiligen Fall des Patienten und dem Grad der Abnutzung ab.

Ablauf einer Veneer Behandlung

Der Ablauf der Behandlung beginnt mit einer Beratung und Untersuchung durch den Zahnarzt, bei der auch ein Kostenvoranschlag erstellt wird. Anschliessend werden die Zähne gründlich gereinigt und eventuell vorhandene Füllungen erneuert oder Karies behandelt. Es ist unabdingbar, dass die Zähne vor der Anbringung der Veneers vollkommen gesund sind und keine Entzündungen im Mundraum vorhanden sind, wie zum Beispiel Parodontitis

Anschliessend kann ein Bleaching durchgeführt werden um die Farbe der Veneers der natürlichen Zahnfarbe genau abzustimmen.

Um ein optimales Ergebnis zu erzielen, wird anschliessend eine digitale Planung durchgeführt, bei der Sie vorab das Resultat am Bildschirm sehen können. Wir werden so lange Änderungen vornehmen, bis Sie hundertprozentig zufrieden sind.

Danach wird der entsprechende Zahn leicht abgeschliffen, damit die Verblendschalen an den Frontzähnen möglichst natürlich aussehen und nicht auftragend wirken. Es folgt eine präzise Abformung, so dass der Zahntechniker die Schale passgenau herstellen kann.

Nach Anfertigung durch den Zahntechniker wird das Keramik-Veneer anprobiert und bei guter Passung und Ästhetik endgültig mit einem Spezialkleber vom Zahnarzt fixiert.

Der Klebeprozess dauert in der Regel ca. 20 Minuten pro Zahn. Zwischen Planung und Anbringen der Veneers müssen Sie mit wenigen Tagen für die Herstellung Ihrer Veneers im Dentallabor rechnen. Meist reicht ein Termin für die Anbringung aller Veneers. Nach der Behandlung können Sie wieder frei und natürlich lächeln.

Ist die Veneer Behandlung schmerzhaft?

Die Anfertigung von Veneers ist in der Regel schmerzfrei. Bei der Präparation wird oft nur die oberste Schicht des Zahnes, der Zahnschmelz, minimal beschliffen. Im Allgemeinen wird das sensible Dentin nicht präpariert. Sollte es in seltenen Fällen doch einmal notwendig sein, finden diese Eingriffe unter Einsatz einer örtlichen Betäubung statt.

Die weiteren Behandlungsschritte, wie die Abformung der präparierten Zähne und das Einsetzen der fertigen Arbeit, sind völlig schmerzfrei.

Selbst Patienten mit einer Zahnarztangst / Dentalphobie brauchen also keine Angst vor einer Veneers Behandlung haben. Die Behandlung ist schmerzfrei.

Bitte kontaktieren Sie uns, wenn Sie Fragen oder Bedenken haben. Wir freuen uns, Ihnen hierbei behilflich sein zu dürfen.

Häufig gestellte Fragen zu Veneers

Das notwendige Abtragen von gesunder Zahnsubstanz, die nicht mehr nachwachsen kann, ist der wesentlichste Kritikpunkt an herkömmlichen Veneers. Dies hat zur Folge, dass der Zahn ohne Veneer sein natürliches Aussehen verliert und der Patient in der Folge immer ein Veneer benötigt, wenn er Wert auf ein schönes Zahnbild legt.

Bei Patienten, die an Bruxismus (Pressen oder Knirschen mit den Zähnen) leiden, ist die Anfertigung von Veneers trotzdem möglich. Wichtig ist, nach dem Einsetzen der Veneers eine sogenannte Knirscherschiene anzufertigen und über Nacht zu tragen. Die Anfertigung eines klassischen Veneers ist unter Umständen nicht mehr möglich, wenn die Zähne zu stark geschädigt sind. Dann werden Teilkronen oder Vollkronen empfohlen. Diese haben jedoch dasselbe optische Ergebnis wie Veneers. Für die Ästhetik spielt es also keine Rolle, ob es sich um ein Veneer oder um eine Krone handelt. Entscheidend ist, welches Material verwendet wird. Sowohl Kronen als auch Veneers können aus Vollkeramik hergestellt werden.

Das notwendige Abtragen von gesunder Zahnsubstanz, die nicht mehr nachwachsen kann, ist der wesentlichste Kritikpunkt an herkömmlichen Veneers. Dies hat zur Folge, dass der Zahn ohne Veneer sein natürliches Aussehen verliert und der Patient in der Folge immer ein Veneer benötigt, wenn er Wert auf ein schönes Zahnbild legt.

Bei Patienten, die an Bruxismus (Pressen oder Knirschen mit den Zähnen) leiden, ist die Anfertigung von Veneers trotzdem möglich. Wichtig ist, nach dem Einsetzen der Veneers eine sogenannte Knirscherschiene anzufertigen und über Nacht zu tragen. Die Anfertigung eines klassischen Veneers ist unter Umständen nicht mehr möglich, wenn die Zähne zu stark geschädigt sind. Dann werden Teilkronen oder Vollkronen empfohlen. Diese haben jedoch dasselbe optische Ergebnis wie Veneers. Für die Ästhetik spielt es also keine Rolle, ob es sich um ein Veneer oder um eine Krone handelt. Entscheidend ist, welches Material verwendet wird. Sowohl Kronen als auch Veneers können aus Vollkeramik hergestellt werden.

Die Kosten für die Anfertigung eines Veneers liegen in der Schweiz bei ca. CHF 2000. Es kann aber auch mehr kosten, je nach Aufwand und Schnelligkeit.

Ja, bei Patienten mit starkem Zähneknirschen ist eine Behandlung mit Veneers in der Regel möglich, wenn der Patient nach der Behandlung mit Veneers zum Tragen einer Schutzschiene bereit ist.

Bei Patienten, die an Bulimie leiden, ist eine Behandlung mit Veneers möglich, wenn sich die Erkrankung stabilisiert hat und nicht mehr akut ist. Ist dies nicht der Fall, kann die Magensäure die Zähne schädigen, mit der Folge des Verlustes der Veneers. Bei Patientinnen und Patienten mit zu stark geschädigter Zahnsubstanz ist die Anfertigung eines Veneers unter Umständen nicht mehr möglich. Dann kann eine Teilkrone oder Krone angefertigt werden, um das gleiche ästhetische Ziel zu erreichen.

Die Kosten für ein Veneer betragen ca. CHF 2000.- pro Zahn. Die Kosten für 20 Veneers belaufen sich somit auf ca. CHF 40000.

Veneers werden dauerhaft auf die Zähne aufgebracht. Der Zahnarzt passt die Struktur Ihrer natürlichen Zähne an, damit die Veneers richtig sitzen. Um genügend Platz für die Veneers zu schaffen, muss eine dünne Schicht des Zahnschmelzes entfernt werden. Trotz dieser Veränderungen fühlen sich Veneers nicht anders an als Ihre Zähne. Die Verblendschalen werden sorgfältig und sicher auf den Zahn geklebt, so dass die Gefahr von Karies nicht besteht. Im Allgemeinen bleiben Veneers dauerhaft auf den Zähnen und werden nicht wieder entfernt. Sollte eine Entfernung notwendig werden, ist dies jederzeit möglich, das Veneer muss ersetzt werden.

Keramikveneers sind eine weit verbreitete und robuste Methode in der Zahnästhetik. Das Besondere an Keramikveneers ist, dass nur ein Minimum an Präparation des natürlichen Zahnes erforderlich ist. Die typische Haltbarkeit beträgt etwa zehn Jahre, aber es ist wichtig zu betonen, dass Keramikveneers unter idealen Bedingungen und bei sorgfältiger Pflege ein Leben lang halten können. Ihre beeindruckende Widerstandsfähigkeit macht sie extrem widerstandsfähig gegen alltägliche Belastungen. Nur ein schweres Trauma kann sie beschädigen. Keramikveneers stellen daher eine hervorragende langfristige Lösung für ein strahlendes Lächeln dar.

Die Kosten für Veneers werden in der Regel nicht von der Versicherung übernommen. Es gibt nur eine einzige Begründung für die Übernahme der Kosten durch das Krankenversicherungsgesetz (KVG), und das kann die Erkrankung an Bulimie sein.

Ein strahlendes Lächeln ist der Schlüssel zur Attraktivität und die Zähne spielen dabei eine Schlüsselrolle. Um das begehrte Hollywood-Lächeln zu erreichen, bieten wir Ihnen eine Behandlung nach dem neuesten Stand der Technik mit Keramik-Veneers an. Mit dieser minimalinvasiven Technik können wir Ihre Zähne harmonisch gestalten. Sie erhalten ein natürliches Weiss, wie es für das berühmte Hollywood-Lächeln charakteristisch ist. Durch die Kombination von Veneers und/oder Kronen entsteht in kurzer Zeit ein bezauberndes Lächeln, das dem der Hollywoodstars in nichts nachsteht.

Die Kosten für ein Veneer für einen Schneidezahn, wie auch für alle anderen Veneers, betragen in der Schweiz ca. CHF 2000.

Bei Lumineers handelt es sich um Non-Prep-Veneers, die die Zahnsubstanz schonen. Die Versorgung mit Non-Prep-Keramikveneers ist jedoch nicht immer möglich. Nur wenn der darunter liegende Zahn nicht verfärbt ist und die Zahnstellung nicht korrigiert werden muss, können Non-prep Veneers verwendet werden. Eine pauschale Antwort auf diese Frage gibt es hier nicht. Wir beraten Sie gerne in unserer Praxis. Wir können Ihnen sagen, ob Lumineers in Ihrem Fall in Frage kommen.

Was kosten Lumineers / Veneers

Im Gegensatz zu Veneers kann der Preis für die Lumineers je nach dem erforderlichen Aufwand für die Behandlung variieren.

Die Materialkosten für Lumineers und herkömmliche Veneers sind nahezu identisch. Für ein einzelnes Veneer müssen Sie 2.000 Franken rechnen. Zwei Veneers werden hauptsächlich eingesetzt, um Verfärbungen und kleine Unregelmässigkeiten an den vorderen Frontzähnen zu verbergen.

Die Verblendung von Ober- und Unterkiefer Frontzähnen erfordert 12 Veneers und würde 24.000 Franken kosten. Die Komplettverblendung von Ober- und Unterkiefer kostet ca. 50.000 CHF.

Egal ob Sie sich Sie sich für Lumineers oder Veneers entscheiden, Sie erhalten ein hochwertiges Ergebnis, das langlebig ist und Ihnen viele Jahre Freude bereiten wird.

Cem Celik

Ich bin das erste Mal bei Dr. van Sprundel gewesen vor ca. 2 Wochen für eine Beratung zu neuen Veneers. 10 Tage später, war alles gefixt! Eine sensationelle Leistung und ich bin mit dem Ergebnis nicht zufrieden, sondern meine Erwartungen wurden übertroffen.

Hans Blaser

Hervorragende Leistung und sehr angenehmes Team & Praxis. Ich bin mit dem Resultat sehr zufrieden und kann Frau Dr. Nina van Sprundel und Team sehr empfehlen.

Jaqueline Adriano

Die Liebe zum Detail, die Dr. van Sprundel und ihr Team an den Tag legen, ist beispiellos. Eine Kombination aus qualitativ hochwertiger, kompetenter Beratung in einer entspannten und stilvollen Atmosphäre — nie weniger als fünf Sterne!

Sven Flory

Einfach die beste Zahnarztpraxis in Zug ... Ich fühlte mich bei Dr. van Sprundel hervorragend aufgehoben und kann daher die Praxis jedem weiterempfehlen.

Das sagen unsere Patienten

Google 4.8 Bewertungen lesen

Wir sind die Praxis für jedermann und jede Frau um ein perfektes Lächeln zu zaubern

Unsere treuen Partner

Strahlend schön

Zahngesundheitsteht an erster Stelle: Schöne und gesunde Zähne begleiten uns ein Leben lang. Darüber hinaus formen Ihre Zähne auch Ihr Gesicht. Ihr perfektes Lächeln sorgt für Ihre Ausstrahlung und definiert Ihre Lebensqualität. Überzeugen Sie sich von unserer Qualität – haben Sie Lust auf mehr?

Hoch
Back