Wir verwenden Cookies um Daten zu erheben. Diese helfen uns, Ihnen das bestmögliche Erlebnis unserer Seite zu gewährleisten. Wenn Sie unsere Seite weiterhin benutzen, stimmen Sie deren Verwendung automatisch zu.   

Bisshebung - Die Behandlung für den «tiefen Biss»

Bei den meisten Menschen erfüllen die Zähne nicht dauerhaft die funktionalen Anforderungen an das Kausystem. Zahnerkrankungen wie Karies und Parodontitis, auch Zahnunfälle oder eine Zahnabrasion, führen zu Zahnschädigungen mit Verlust der Zahnsubstanz und zum Verlust an Bisshöhe. Bei diesen Patienten spricht man von einem Abrasionsgebiss.

Von einem Abrasionsgebiss spricht der Zahnarzt, wenn die Zähne von Ober- und Unterkiefer im Front- und Seitenzahnbereich gleichermassen von einer Schädigung und Abnutzung der Zahnhartsubstanzen betroffen sind. Dabei werden besonders die Frontzähne im Laufe der Zeit immer kürzer. Die für jeden Zahn typische Zahnform, Zahnlänge und damit verbundene biomechanische Funktion, gehen verloren.

Eine Bisshebung stellt die Ästhetik und Funktion im Mund wieder her, indem sie den optimalen Kiefer- und Zahnabstand wiederherstellt. Dabei hat die Behandlung nicht nur einen ästhetischen Aspekt, sondern primär eine funktionelle Bedeutung.

Die Bisshebung sollte nicht isoliert betrachtet werden, ohne die Ursachen für die Fehlokklusion (Zahn-zu-Zahn-Kontakt) zu berücksichtigen. Es ist wichtig, sicherzustellen, dass diese Ursachen nach der Bisshebung nicht erneut auftreten, um langfristig den Erfolg zu sichern.

Kreuzbiss in Neutrallbiss umgewandelt ohne Zahnspange

Was versteht man unter einer Bisshebung

Bisshebung in der Zahnmedizin ist ein Verfahren, das dazu dient, den Abstand zwischen dem Ober- und Unterkiefer gezielt zu verändern, um eine zu tiefe Bisslage zu korrigieren. Das Gebiss wird dabei wieder in eine optimale Position gebracht. Ein Tiefbiss tritt auf, wenn die oberen Schneidezähne die unteren Zahnspitzen überlagern. In extremen Fällen kann dies sogar dazu führen, dass die unteren Zähne in den Gaumen hineinstossen und die oberen Zähne belasten.

Zur Behandlung gibt es verschiedene Methoden der Bisshebung, die sich nach der individuellen Situation des Patienten richten:

  • Therapeutische Bisshebung: Diese kann passiv durch kieferorthopädische Massnahmen erfolgen, beispielsweise durch Schienen oder andere kieferorthopädische Behandlungen, um das Gebiss in eine korrekte Position zu bringen.
  • Prothetische Bisshebung: Diese Form der Bisshebung erfolgt durch Aufbissschienen oder entsprechend gestalteten Zahnersatz, wenn eine Bisssenkung aufgrund von Abrasion oder Zahnverlust vorliegt.

Die Bisshebung kann je nach Behandlungssituation durch Aufbau der Seitenzähne, durch Verkürzung der Frontzähne oder durch eine Kombination beider Verfahren durchgeführt werden.

Kinder und Jugendliche durchlaufen 3 natürliche Bisshebungen!

«Bei der Physiologische Bisshebung ist es absolut normal, dass bei Durchbruch der ersten Milchmolaren im Alter von 14-18 Monaten es zu einer Veränderung des Bisses kommt.

Die zweite natürliche Bisshebung erfolgt bei Durchbruch der ersten Molaren im Alter von ca. 6 Jahren.

Die letzte Bisshebung erfolgt beim Prämolarenwechsel und Einstellung der 2. Molaren im Alter von ca. 10-12 Jahren.

Deswegen spielen im Wachstumsalter die kieferorthopädischen Untersuchungen eine entscheidende Rolle. Bei rechtzeitiger Diagnose und Therapie kann so eine Korrektur von Fehlstellungen ermöglicht werden, bevor diese sich im Erwachsenenalter manifestieren.»

Auswirkungen eines unbehandelten Tiefbiss

Die Symptome des Tiefbiss können sich auf das gesamte Kausystem und den Körper auswirken, was folgende Konsequenzen haben kann:

  • Abgesunkenes unteres Gesichtsdrittel: Veränderung der Gesichtsform als ästhetische Folge, wobei die Gesichtszüge dabei asymmetrisch und unharmonisch wirken. 
  • Essverhaltensstörungen und Fehlbelastungen im Kausystem
  • Druckgefühle, Gelenkschmerzen und Verspannungen im Kopf-, Nacken- und Schulterbereich
  • Spannungskopfschmerzen
  • Schmerzen im Rücken-, Hüft- und Kniebereich
  • Ohrenschmerzen
  • Tinnitus (Ohrgeräusche)
  • Sehstörungen, wie Augenflimmern oder Doppeltsehen, begleitet von Schwindel
  • Morgendliche Schluckbeschwerden aufgrund mangelnder Durchblutung
  • Beckenschiefstand

Ein Tiefbiss sollte möglichst zeitnah von einem Zahnarzt oder Kieferorthopäden behandelt werden, um langfristige Schäden zu vermeiden. 

Unbehandelt kann ein abgesenkter Biss zu weiteren Problemen wie Kiefergelenkproblemen (Arthropathie) oder Veränderungen an der Kiefermuskulatur (Myoarthropathie) führen.

Kreuzbiss in Neutrallbiss umgewandelt ohne Zahnspange

Ursachen für einen Tiefbiss (Tiefstand)

Eine der Hauptursachen für die Notwendigkeit einer Bisshebung ist die erhöhte Abnutzung der Zähne. Man spricht in diesem Fall von einem Abrasionsgebiss. Dieses kann durch verschiedenste Faktoren hervorgerufen werden:

  • Zähneknirschen und Aufeinanderpressen der Zähne (Bruxismus): Dies ist eine häufige Ursache für Abnutzung der Zähne, die oft auf Stress zurückzuführen ist. Sobald das Nervensystem und die Kaumuskulatur unter Druck geraten, neigen viele Menschen dazu, als Reaktion auf den psychoemotionalen Stress nachts mit den Zähnen zu knirschen oder sie aufeinanderzupressen. Hierbei treten enorme Kräfte auf, die den Zahnschmelz und das darunter liegende Dentin auf Dauer abnutzen.
  • Zahnfehlstellungen und Fehlbelastungen im Kausystem: Angeborene Zahnfehlstellungen oder Zahnlücken können ebenfalls zur Abrasion der Zähne beitragen. Auch schlecht angepasster Zahnersatz wie Kronen, Implantate, Brücken, Füllungen oder Prothesen und Provisorien können eine Fehlbelastung im Kausystem auslösen und die umliegenden Zähne schädigen.
  • Mangelnde Prophylaxe: Eine unzureichende Mundhygiene und Zahnkrankheiten wie Karies oder Parodontitis können die Zahnhartsubstanz und den Zahnhalteapparat frühzeitig zerstören. 
  • Bulimie und Reflux Erkrankungen: Der Zahnschmelz kann durch die ständige Exposition gegenüber Magensäure aus dem Erbrechen auf Dauer geschädigt werden und zu Zahnerosionen führen.
  • Alkoholmissbrauch kann zu Erosionen führen. An chronischem Alkoholismus erkrankte Patienten haben häufig Erosionen durch Erbrechen und Reflux.

Die Bisshebung erfordert Fingerspitzengefühl von allen Beteiligten

Der Erfolg der Bisshebung hängt entscheidend von der Zusammenarbeit zwischen Zahnarzt und Zahntechniker und deren gegenseitigem Verständnis ihrer jeweiligen Fachgebiete ab. Eine konstante Weiterbildung, das Infragestellen von Routinen und das Erlernen neuer Technologien sind ebenfalls unerlässlich, um die bestmögliche Behandlung für unsere Patienten zu erreichen.

Die immer grösser werdenden Möglichkeiten und die Unterstützung durch die CAD-CAM-Technologie sorgen in unserer Praxis für einen effizienteren und sichereren Ablauf sowohl bei der Arbeit im Labor als auch bei der Behandlung. Die Möglichkeiten reichen von der digitalen Simulation des Soll-Zustandes über die dreidimensionale Planung und Darstellung, die digitale Abformung bis hin zur Herstellung des endgültigen Zahnersatzes.

Frau Dr. van Sprundel ist Autorin zahlreicher Publikationen zum Thema Bisshebung nach Erosionsschäden und hat umfassende Kenntnisse in der Diagnostik und Behandlung.

In unserer Praxis in Baar planen wir immer ausreichend Zeit für eine individuelle Beratung und Behandlung ein. Dies ist der Schlüssel, um bestmögliche Ergebnisse für unsere Patienten zu erzielen. Mit Frau Dr. Nina van Sprundel als Zahnärztin sind Patienten in den besten Händen, wenn es um die Zahngesundheit und Ästhetik ihrer Zähne geht.

Planung und Ablauf der Bisshebung

Zu Beginn der Behandlung wird eine klinische Funktionsanalyse durchgeführt und es werden Abformungen genommen. Die klinische Funktionsanalyse und die technische Analyse der Studienmodelle des Patienten geben Aufschluss darüber, welche Therapiemassnahmen erforderlich sind.

Sind die Zähne noch nicht stark abgenutzt, ist die Anfertigung einer Michiganschiene zur Entlastung der Zähne und des Kiefergelenks die Therapie der Wahl.

Bei fortgeschrittenem Destruktionsgrad sind restaurativ-prothetische Massnahmen wie die Versorgung der Zähne mit Keramikkronen und/oder Tabletops erforderlich.

Es wird vor Beginn der therapeutischen Massnahmen im zahntechnischen Labor eine Behandlungssimulation durchgeführt, die Aufschluss über das ästhetische und therapeutische Ziel der Behandlung gibt. Diese zeigt die Ziel-Situation als Wax-up auf den Studienmodellen des Patienten. Ein Mockup am Patienten demonstriert, wie seine Zähne und die daraus resultierende Veränderung des Gesichtsprofils und der –physiognomie nach Abschluss der Therapie aussehen könnten.

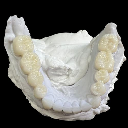
3D Planung und Visualisierung der Bisshebung

Wax-Up Model zur Demonstration des Ziel-Zustands bei einer Bisshebung

Schritt für Schritt zum richtigen Biss

Das Wax-Up wird dann vom Techniker in ein Mock-Up überführt, indem die auf dem Wachsmodell gewonnene Form der Zähne, provisorisch auf zahnfarbene Kunststoffschalen übertragen wird. Diese so genannten Mock-Ups werden auf die eigenen Zähne mit Kunststoff geklebt.

In unserer Praxis sind temporäre und indirekt gefertigte Versorgungen state of the art, um höchsten Qualitätsansprüchen gerecht zu werden. Alternativ gibt es auch die Schienentherapie, um die neu definierte Bisshöhe auszuprobieren.

In unserer Praxis hat sich die direkte Umsetzung mit temporärem Zahnersatz bewährt, um die optimale Bisshöhe zu ermitteln. Eine solche Testphase kann 3-12 Monate dauern und findet ihre Rechtfertigung in der Zeit, die das cranio-mandibuläre System zur Normalisierung und Stabilisierung benötigt. 

Auf diesem Weg kann einerseits gewährleistet werden, dass der Patient sich an die neu erworbene Bisshöhe und -lage gewöhnen kann. Andererseits wird in dieser Phase die entscheidende Feinjustierung durchgeführt, um die individuell optimale Situation im Patientenmund zu erreichen. Die Phonetik, Funktion und Rückmeldung des Kauens (Mastikation) sind in dieser Zeit häufig schon optimal.

Weitere Vorteile der Provisorien bei der Bisshebung in dieser Zeit:

  • Ersatz fehlender Zahnsubstanz: Provisorien ersetzen die fehlende Zahnsubstanz und schützen den betroffenen Bereich während der Behandlung.
  • Schutz vor Reizen: Provisorien schützen die freigelegte Zahnsubstanz und das umliegende Zahnfleisch vor chemischen, physikalischen und mechanischen Reizen, die Schmerzen und Entzündungen verursachen könnten.
  • Stabilisierung der Zahnstellung: Durch das Einsetzen von Provisorien wird die Stellung der Zähne stabilisiert, bis der endgültige Zahnersatz eingesetzt wird. Diese Stabilisierung ist wichtig, um die korrekte Bisslage und Okklusion während der Behandlung aufrechtzuerhalten.

Insgesamt sind Provisorien bei der Bisshebung ein wichtiger Bestandteil des Behandlungsablaufs und tragen wesentlich zur erfolgreichen und nachhaltigen Korrektur der Bisslage bei. Sie sorgen für eine schrittweise Anpassung an die neuen Gegebenheiten und bieten dem Patienten während der Behandlung Sicherheit und Komfort.

Der Patient plant sein perfektes Lächeln mit uns

Während der Behandlungsphase kann und soll der Patient Einfluss auf sein späteres ästhetisches Erscheinungsbild nehmen. 

Es gibt eine Reihe von Terminen in unserem Labor, bei denen die Farbe und die Form der Zähne bestimmt und so lange optimiert werden, bis der Patient mit dem Endergebnis zufrieden ist. Der provisorische Zahnersatz wird in den definitiven Zahnersatz umgewandelt, wenn die Eingewöhnungsphase abgeschlossen ist. 

Nach dem Einsetzen des endgültigen Zahnersatzes erhält der Patient eine Michigan-Schiene für die Nacht. Diese dient dem Schutz und der Entlastung der Zähne und des Kiefergelenks.

Definition der optimalen Farbe für den geplanten Zahnersatz

Einsetzen des definitiven Zahnersatzes

Das Risiko der Nichtakzeptanz durch den Patienten ist bei der Behandlungsstrategie mit provisorischem Zahnersatz sehr gering. Wie so oft ist für ein positives Behandlungsergebnis und ein gutes Arzt-Patienten-Verhältnis eine ausführliche Aufklärung über die Folgen, Risiken und Nebenwirkungen der Bisshebung Voraussetzung.

Um Risiken zu minimieren, erfolgt die definitive Versorgung der Zähne frühestens 3 Monate nach Einsetzen des provisorischen Zahnersatzes. In der Regel wird spätestens nach 12 Monaten der Wechsel zur High-End Versorgung angestrebt. In den Sitzungen werden die Kronen, Teilkronen oder Brücken aus Keramik in der erprobten Bisslage eingegliedert.

Aus unserer Erfahrung gewöhnen Patienten sich schnell an den Zahnersatz und gewinnen deutlich an Lebensqualität.

Länge der Behandlung & Fazit

Die Schäden eines Abrasionsgebisses lassen sich im Allgemeinen vollständig reparieren. Eine gute Therapieplanung, die möglicherweise verschiedene Vorbehandlungen beinhaltet, ist allerdings notwendig, um ein optimales Ergebnis zu erzielen.

Die Behandlungsdauer hängt von verschiedenen Faktoren ab, einschliesslich der Schwere der Schäden, der Art der Behandlung und individuellen Umständen. Im Allgemeinen können wir folgende Behandlungsdauern unterscheiden:

  • Für nicht stark abgenutzte Zähne, die mithilfe der Michigan Schiene behandelt werden, dauert die Behandlung wenige Wochen mit bis zu fünf Terminen.
  • Bei fortgeschrittenem Zahnsubstanzverlust, die eventuell mit implantatgetragenem Zahnersatz versorgt werden, und bei Bedarf zusätzlicher Knochenaufbauten, kann die gesamte Behandlung etwa ein Jahr dauern. In dieser Zeit tragen die Patienten jedoch hochästhetische und festsitzende Langzeitprovisorien, sodass ihre Lebensqualität nicht eingeschränkt ist.

Um mögliche Kiefergelenksprobleme und Unzufriedenheit mit der Ästhetik zu vermeiden, sollte eine Bisshebung nicht überstürzt durchgeführt werden. Aus diesem Grund sollte von einer schnellen Bisshebung im Ausland, die oft zu enttäuschenden Ergebnissen führt, Abstand genommen werden.

Es ist ratsam, sich von einem erfahrenen Zahnarzt beraten und behandeln zu lassen, um das bestmögliche Ergebnis zu erzielen und mögliche Ängste und Probleme auszuräumen.

Michigan Schiene zur Nachbehandlung einer Bisshebung

Wofür sind Bissschienen wichtig bei der Nachsorge?

Aufbissschienen sind für die dauerhafte Erhaltung eines gesunden Bisses und die Verbesserung der Lebensqualität der Patienten in der Nachsorge nach einer Bisshebung wichtig. Zum Schutz des Zahnersatzes vor Abnutzung und Beschädigung sind sie ein wichtiges Hilfsmittel. So werden wiederholte Schäden vermieden. Der Biss bleibt langfristig gesund.

Bei Problemen mit der Kaumuskulatur kann diese individuell angepasste Michigan Schiene helfen, die verspannte Kaumuskulatur zu entspannen und die Kiefergelenke günstig zu beeinflussen. Häufig tragen Patienten die Schiene vor allem nachts, um nächtlichem Zähneknirschen oder Zähnepressen (Bruxismus) entgegenzuwirken und so die Zähne vor erneutem Substanzverlust zu schützen.

Überdies kann eine Aufbissschiene auch bei Körperfehlstellungen wie z.B. Hüftfehlstellungen, Wirbelsäulenproblemen oder Beinlängendifferenzen zur Wiederherstellung des Körpergleichgewichts beitragen. Zur Entlastung der Kiefergelenke und zur Harmonisierung der knöchernen Struktur dieser Gelenke leistet die Aufbissschiene einen wichtigen Beitrag.

Cem Celik

Ich bin das erste Mal bei Dr. van Sprundel gewesen vor ca. 2 Wochen für eine Beratung zu neuen Veneers. 10 Tage später, war alles gefixt! Eine sensationelle Leistung und ich bin mit dem Ergebnis nicht zufrieden, sondern meine Erwartungen wurden übertroffen.

Hans Blaser

Hervorragende Leistung und sehr angenehmes Team & Praxis. Ich bin mit dem Resultat sehr zufrieden und kann Frau Dr. Nina van Sprundel und Team sehr empfehlen.

Jaqueline Adriano

Die Liebe zum Detail, die Dr. van Sprundel und ihr Team an den Tag legen, ist beispiellos. Eine Kombination aus qualitativ hochwertiger, kompetenter Beratung in einer entspannten und stilvollen Atmosphäre — nie weniger als fünf Sterne!

Sven Flory

Einfach die beste Zahnarztpraxis in Zug ... Ich fühlte mich bei Dr. van Sprundel hervorragend aufgehoben und kann daher die Praxis jedem weiterempfehlen.

Meinungen unserer Patienten

Google 4.8 Bewertungen lesen

«Kommen Sie regelmässig zur Dentalhygiene – eine regelmäsige Prophylaxe ist das Beste, was Sie für Ihre Zähne tun können»

- Dr. Nina van Sprundel -

Ihre Zahnarztpraxis im Kanton Zug

Jeder Mensch ist individuell – darum ist jede Behandlung bei uns auch individuell. Alle Patienten können sich bei uns auf eines verlassen: Ihr schönstes Lächeln ist unser Ziel und das verfolgen wir kompromisslos mit viel Hingabe und Perfektion.

Gesunde & schöne Zähne

Sie träumen von einem strahlenden Lächeln mit hellen, gesunden Zähnen oder der Schliessung der Zahnlücke in den Vorderzähnen? Mit der ästhetischen Zahnmedizin können wir Ihnen helfen. Unsere Zahnbehandlungen sind auf Ihre individuellen Wünsche und Bedürfnisse zugeschnitten und garantieren ein optimales Ergebnis. Zusammen mit einer regelmässigen Zahnreinigung haben Sie dann ein gesundes Lächeln, das Sie stolz machen kann.

Strahlend schön

Zahngesundheitsteht an erster Stelle: Schöne und gesunde Zähne begleiten uns ein Leben lang. Darüber hinaus formen Ihre Zähne auch Ihr Gesicht. Ihr perfektes Lächeln sorgt für Ihre Ausstrahlung und definiert Ihre Lebensqualität. Überzeugen Sie sich von unserer Qualität – haben Sie Lust auf mehr?

Hoch
Back